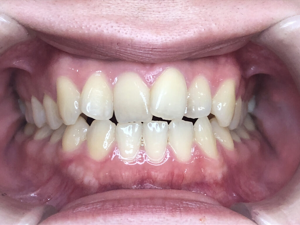
2025/12/09 ガタガタ(叢生) 前歯噛めない(開咬)
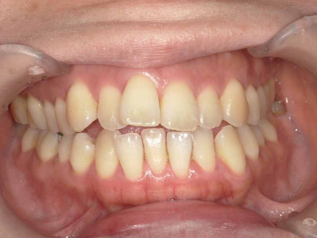
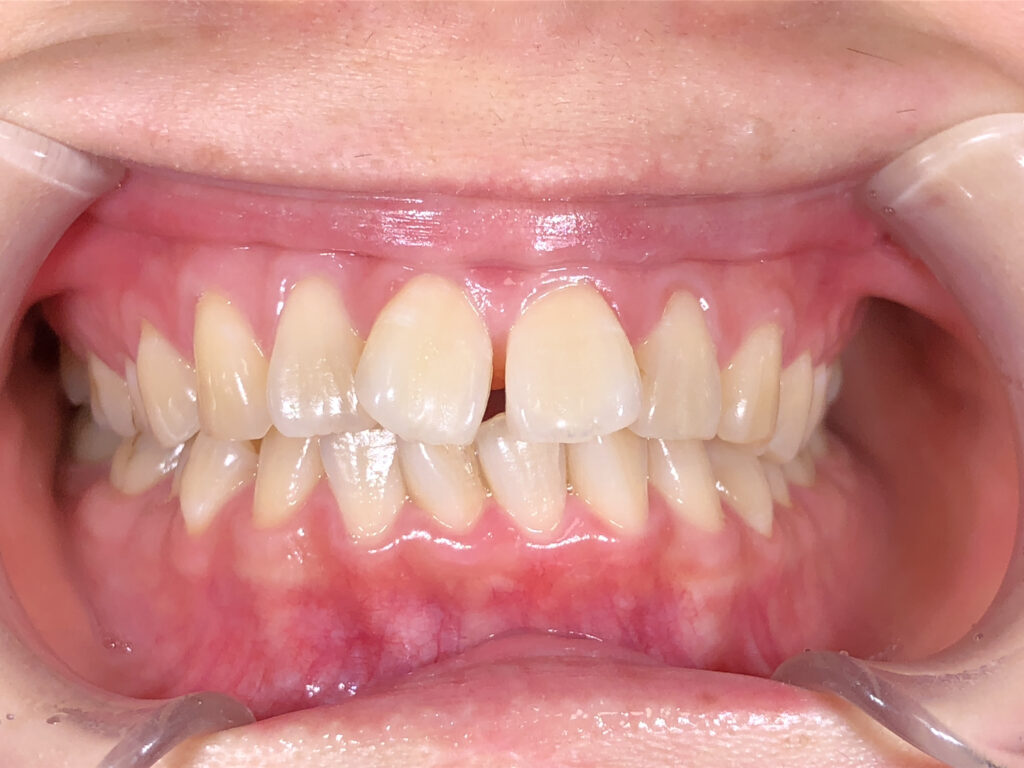
出っ歯・開咬の矯正治療(インビザライン)

2025/12/09 ガタガタ(叢生) 前歯噛めない(開咬)

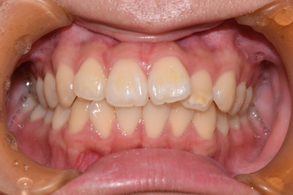
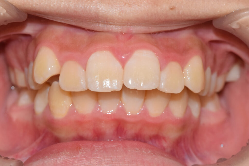
2025/11/10 ガタガタ(叢生)

2025/10/15 ガタガタ(叢生)

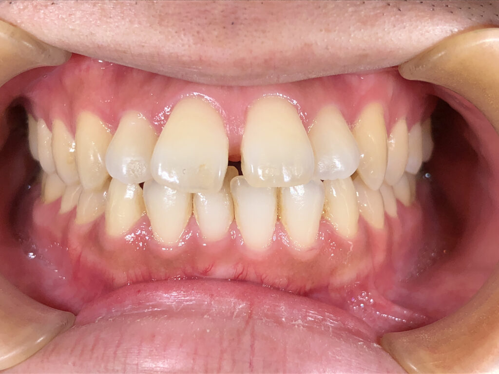
2025/10/07 すきっ歯(空隙歯列)

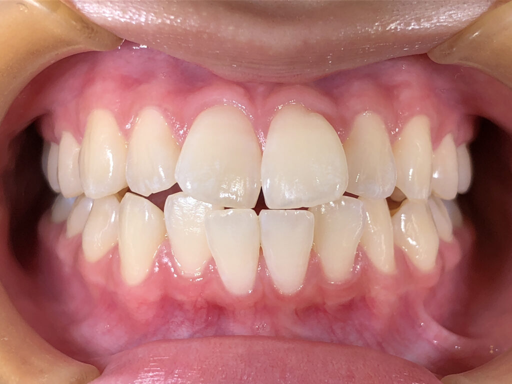
2025/10/02 ガタガタ(叢生)

2025/09/29 すきっ歯(空隙歯列)

2025/09/20 ガタガタ(叢生)

2025/09/12 出っ歯(上顎前突) 前歯噛めない(開咬)

Copyright © 若林歯科 All Rights Reserved.