2026/03/01 ガタガタ(叢生)
叢生の矯正治療(インビザライン)
10代の矯正症例
治療前後の比較
正面
治療前

治療後

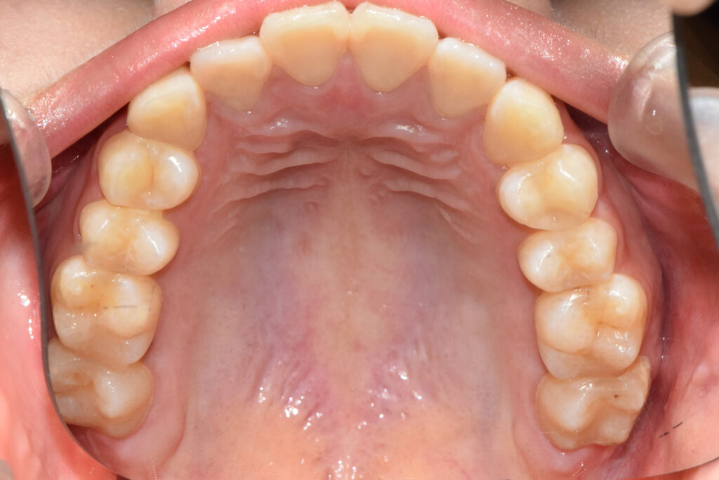
上顎
治療前

治療後

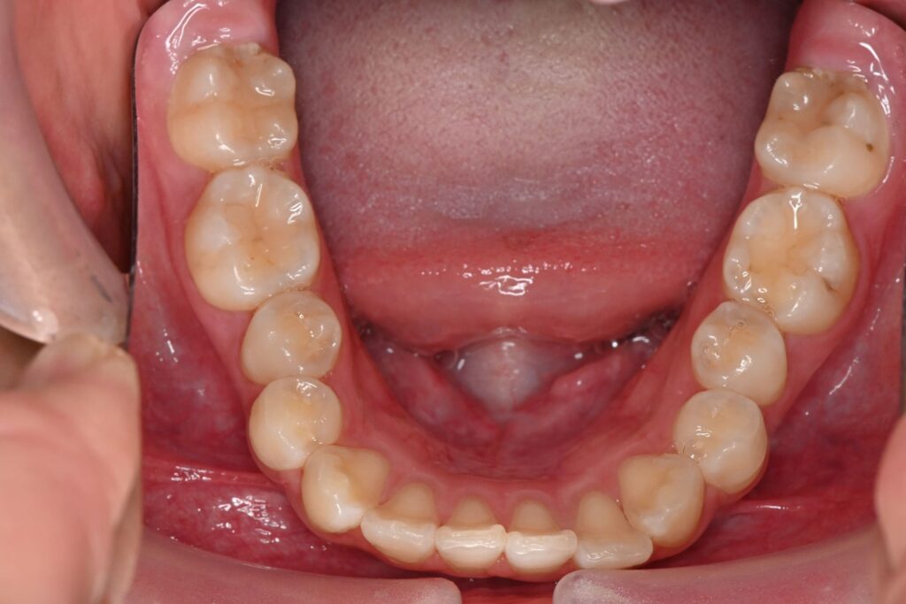
下顎
治療前

治療後

前歯部あおり
治療前

治療後

| 担当Dr. | 米崎 美桜 |
|---|---|
| 患者情報 | 10代女性 |
| 治療内容 |
患者様は上の前歯(側切歯)の向きが気になること、下の歯並びのガタつきをご心配されていました。歯の重なりが強い叢生は歯磨きが行き届きにくく、放置すると虫歯や歯周病のリスクが高まるほか、審美的なお悩みも続く可能性があります。 |
| 治療期間 | 5ヶ月(2024/01/15~2024/06/18) |
| 治療費用 | 530,000円 税込583,000円 ライトプラン 53万円 |
| リスク・副作用 | ・アライナー装着中は初期の痛みや違和感を伴うことがありますが、数日〜1週間程度で軽減することが多いです ・アライナーを1日20時間以上装着しないと、計画通りに歯が動かない場合があります ・個人差により治療期間が延長する可能性があります ・歯根吸収や歯肉退縮が生じる可能性があります ・インビザラインのみで十分な改善が難しい場合、追加のワイヤ矯正が必要になることがあります ・治療後はリテーナーを継続使用しないと後戻りのリスクがあります |