床矯正
日本床矯正研究会の理事による床矯正。
取り外しが簡単な装置で歯列を広げ、歯の並ぶスペースを作ります。
適切な治療には患者さんの「努力」が必要になります。
床矯正とは?

4人掛けの椅子に5人が座るとどうなりますか?どうしても無理に座る必要があり、デコボコした座り方になると思います。歯並びも同じです。
歯が生えてくる顎のスペースが狭いと、歯が重なりながら生えてくるしかなく(これを叢生と言います)、デコボコした歯並びになってします。
こうならないためにはどうしたらいいのか?
それは、歯が生えてくる顎のスペースを広げればいいのです。

そこで当院では「床矯正」という治療法を導入し、低年齢で従来の矯正治療ができないお子さんも、気になった時から矯正治療が始められ、極力、歯を抜かないで済む治療法をご提案しています。
※当院では日本床矯正研究会の理事が床矯正を行います。
では、床矯正とはどのような矯正なのかと気になりますよね。床矯正は、入れ歯のような取り外しができる装置をお口の中に入れ、ご家庭でネジを巻いて顎の大きさを徐々に拡大していきます。幼児でも簡単にとりはずしができ、快適に矯正治療ができます。この装置は、以下のような特徴があります。
床矯正のメリット
- 極力歯を抜かないで矯正が可能です。(歯を抜く場合もあります)
- 取り外しができるので、むし歯・歯周病・歯肉炎になりにくいです。
- ワイヤー(針金)を使った矯正治療より見た目が良いです。
- 歯並びが変わることで顔つきが良くなることがあります。
- 患者さんが一緒に「参加」する治療ですので、治療内容を理解・把握できます。
床矯正のデメリット
- 患者さんの協力が必要になるので「やる気」が大事です。
- すべてのお子さんが床矯正で治せるわけではありません。
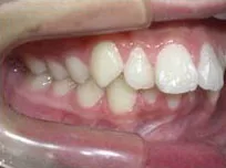
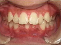
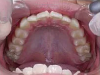
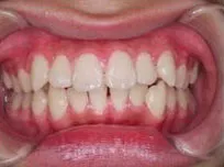
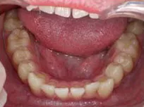
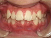
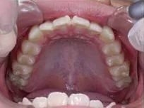
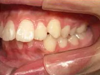
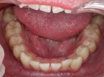
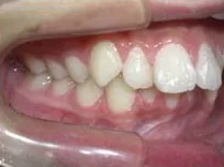
以下、当院で実施した床矯正の症例となります。
床矯正は、低年齢からの治療開始であれば少ない装置だけで済む可能性もありますが、適切な矯正時期を逃してしまい、症状が複雑になればなるほど、いくつもの装置が必要になり、治療費用もかかります。
つまり、早く気づいたとき(犬歯が生える前まで)に治療を開始するのが適切です。

また、歯並びが悪くなる原因には、お口の筋肉(頬や舌)がバランスよく機能していないことや、悪いクセ(指しゃぶり、口で呼吸する、ほおづえなど)があります。
当院では咀嚼訓練、食事、悪習慣の除去などを通し、これらを改善させる取り組みも行っています。
床矯正治療と組み合わせることで、矯正治療のスピードアップ、そして、矯正ではよくある「後戻り」を防止する効果があります。

床矯正の治療例
症例1






| 治療期間 | 11ヶ月(2021年6月〜2022年5月) |
|---|---|
| 費用 | 495,000円(税込) |
| リスクや副作用 | 成長期が終わった18歳以降に、2期矯正が必要になることがある |
床矯正治療の流れ
Step1 ご相談(無料)

歯並びなどが気になった経緯や生活習慣など、歯科医師が把握することによって矯正治療に役立てていきます。
Step2 検査

お口の中のチェック、写真撮影、姿勢のチェック、噛む力の測定、歯の型どり、レントゲン撮影を実施。検査結果は分析し、後日お伝えします。
Step3 床矯正装置の作成

検査結果によって、個々に合わせた装置を作成します。
Step4 床矯正装置の装着

実際に装置をお口の中にはめていただきます。1日14時間以上を目安とします。
Step5 観察・メインテナンス

1ヶ月ごとに床矯正がしっかりと広がっているか確認をしていきます。同時にお口のメインテナンスを実施し、治療中のむし歯予防を行います。
Step6 保定

広がった歯が後戻りをしないように、保定装置を用いて固定します。
床矯正をする上での注意点
~お読みください~

床矯正はワイヤーやブラケットを利用する一般的な矯正と比較して、費用は抑えられます。それは、自分で努力し頑張る治療だからです。努力を必要とせずに「すべてを歯医者にまかせて治したい」という場合は、大人の歯が全部生えそろったところで抜歯をし、強制的にワイヤーで歯を引っ張って治す矯正治療もあります。すべてを歯科医師に任せるという事は当然金額が80万~100万と高額になります。
床矯正治療主役は、あくまでもお子さん本人であり、医院は「支援者」です。
また、あくまでも装置は顎の成長を助ける補助的なもので、装置の力で歯並びが治るのではありません。例えば、お口を閉じる訓練、前歯を使う食事、食事の時の姿勢、頬杖などの悪い習慣の改善をしっかり行い、自分の機能を高めることが大切です。
噛むことやトレーニングを軽視すると床矯正治療はうまくいきません。
「歯医者に治してもらう」のではなく、「自分の力で治す」のがこの床矯正です。
この点をしっかり理解した上で、治療をスタートさせてほしいと思っています。
なるべく少ない装置(費用を抑える)で改善するためには、
①犬歯が生える前までに始める
火事は大火事になる前にボヤのうちに消すことと同じです。
②しっかり装置を入れ、ネジを巻く
どんなに優れた作用を持つ装置でも、入れてくれなければ全く効果はありません。
③装置を大切に扱う
扱いが悪いと破損し、修理が必要になり、費用も時間も余計にかかります。
④悪い習慣をやめる
「口が閉じれない」「噛むのが面倒」などと言い訳しても何もなりません。
⑤保護者の方も頑張る
ネジの管理と食事環境の見直しや食育は、家庭でしかできません。
私達は、なるべく多くのお子さんに、床矯正治療の恩恵を受けて欲しいと思っています。 子どもたちが、自分で頑張ることで、よい顔つきをした大人に成長して欲しいと願っています。自分で目標を決めて、努力することができる子供たちを、私たちは心からサポートします。
担当医から親御さんへの
メッセージ

最近では世界で仕事をする日本人が多くなりました。今のお子さんが成人する頃にはもっと多くの日本人が世界に飛び出しているでしょう。海外では「歯並びが悪い」という事は「自己管理がしっかりできていない」とみなされてしまいます。つまり、低い評価を受けてしまいます。これはあまりにももったいないことです。
また、矯正治療は「歯並びを綺麗にする」以外にも「むし歯リスク・歯周病リスク」を圧倒的に減らすことが出来る効果があります。これはブラッシングしやすい歯の形態を同時に作り上げるためです。もっというと、矯正治療をすることで「長期にわたって自分の歯で生活することができる可能性が高まる」という事です。

矯正治療は単に「歯並び」改善するだけではなく、上記のような「可能性」というプレゼントをお子さんに与える素晴らしいものだと私は考えています。
少しでもお子さんの歯並びが気になりだしたら、治療するしないにかかわらず、まずはお子様のお口を見せてください。早い時期にしっかりとした検査を行う事でお子さんにとって理想の治療時期をご提案することが出来ます。
よくある質問
Q.子供が歯科医院で顎を拡げる治療は年齢が過ぎていて適していなく、抜歯する可能性もあるとのことでした。抜歯せずに矯正は可能ですか?
A.お子様の矯正治療に関しては、子供の成長期(小学校低学年〜小学校高学年ぐらいの乳歯と永久歯の混合歯列状態)を利用した非抜歯矯正治療でおこなっておりますが、一度お口の中の状態を診せていただいてからの判断になります。
その他の小児矯正治療法
ビムラー矯正
(ハリガネを使用しない矯正)

ビムラー矯正とは、「取り外しのできない特殊なプラスティック製キャップ」と、「ビムラーという取り外しのできる装置」を併用し、歯の表面に矯正装置をつけずに最後まで治療が行える矯正法です。
夜間のみ装着いただき、極力抜歯をせずに歯の矯正を行います。
インビザラインファースト
(マウスピース矯正)

インビザラインファーストとは、世界No1シェアを誇るインビザライン社の小児専用マウスピース装置です。透明マウスピースなので装着していても目立たないですし、食事や歯磨きの際は取り外しが可能です。
まずはお子様の歯並び相談に
お越しください
若林歯科では小児矯正専門歯科医師が歯並び相談の担当しております。
「矯正治療を受けたほうがいいの?」「いつから始めたほうがいいの?」「どの治療法が合っているの?」といったこと、担当歯科医が検査の上しっかりと説明させていただきます。
また、下記のような症状がある場合は「歯並びの異常を知らせるサイン」ですので、一度ご相談いただきたいと思います。
サイン1 乳歯が抜けていないのに大人の歯が裏側から生えてきた
サイン2 前歯が大人の歯が生えたが、ガタガタしている
サイン3 歯が出っ歯の気がする、下の歯がみえない
サイン4 受け口(上の歯よりも下の歯が前にでている)
下記のWEB受付、もしくはお電話にてご予約ください。


