デンタルローンに対応
最大120回分割まで可能
月々¥4,894(最後のみ¥4,938)
※インビザラインliteの場合
毎月の経過観察費用・調整料は一切かかりません
経過観察費用¥0/調整料¥0
「複数」のマウスピース矯正
プランを提示

若林歯科では患者さんのご希望(歯並びの完成イメージ・治療期間・痛みの軽減・ご予算)に合わせ、複数のマウスピース矯正プランを提示します。
提示した複数の矯正プランから患者さんご自身にお選びいただきます。
最終的な歯並びからプランを選択

治療に使用するマウスピースの個数・IPR(歯と歯の間を少し削る作業)の有無・抜歯の有無によって歯並びの変化は大きく異なります。
例えば
- 前歯の歯並びを少しだけ治したい
→「マウスピースを14個まで使用」のプランを選択 - 前歯を理想の歯並びにしたい
→「マウスピースを14個+IPR」のプランを選択 - すべての歯を綺麗に並べたい
→「マウスピース26個使用+IPR+抜歯」のプランを選択
といったように、患者さんの希望される最終歯並びに合わせ、当院からはいくつかの治療パターンを提示します。
治療期間からプランを選択

綺麗な歯並びを実現する上で、治療期間の短縮というのはすごく重要です。
もちろん患者さんとしては「治療期間を短くしたい」と思われると思いますが、これは歯科医師側も同じ意見です。というのも最初に歯並びを整えるシミュレーションや計画を立てますが、治療期間が長くなるほど当初の予測実現性が下がってしまいます。
例えば「矯正除痛加速装置」というオプションを選択いただきますと、マウスピースを交換する頻度が1週間のところ4日になります。ということは治療期間を約半分に短縮できるということです。またこの装置は痛みを和らげる効果もあります。
「インビザラインのマウスピース矯正は2年くらいかかるのでは?」と思われる方もいらっしゃいますが、このように治療期間の調整を行うことで、インビザライン矯正は最短3ヶ月(前歯の場合)・すべての歯の矯正でも最短6ヶ月で完了することができます。
ご予算からプランを選択

前歯のみの場合は¥495,000(税込)から、すべての歯を整える場合は¥935,000(税込)からです。
※共に毎回の管理料も含まれます
また前述のように、IPR・抜歯・矯正除痛加速装置といったオプションの選択も可能です。
| 矯正範囲 | 前歯だけの部分矯正 | すべての歯の矯正 |
|---|---|---|
| 治療期間 | 3ヶ月〜6ヶ月 | 6ヶ月〜2年 |
| マウスピースの数 | 7枚〜14枚まで | およそ40~60枚 |
| 料金 | 440,000円(税込)〜858,000円(税込) 分割の場合:月々¥4,894〜 |
803,000円(税込)~1,353,000円(税込) 分割の場合:月々¥9,245〜 |
| 特徴 | 奥歯を動かさないので、短い期間で歯並びが整う | 抜歯矯正にも対応 かみ合わせも改善 |
患者さんの矯正治療におけるご予算に応じて治療プランやオプションを選択できます。
また若林歯科ではデンタルローンのご利用にも対応しています。最大120回までの分割が可能で、前歯のみのインビザラインは月々¥4,894(税込)から、奥歯まで動かすインビザラインは¥9,245(税込)から導入可能です。
※インビザラインは公的医療保険が適用されない自由診療です。
当院のマウスピース矯正の
治療例
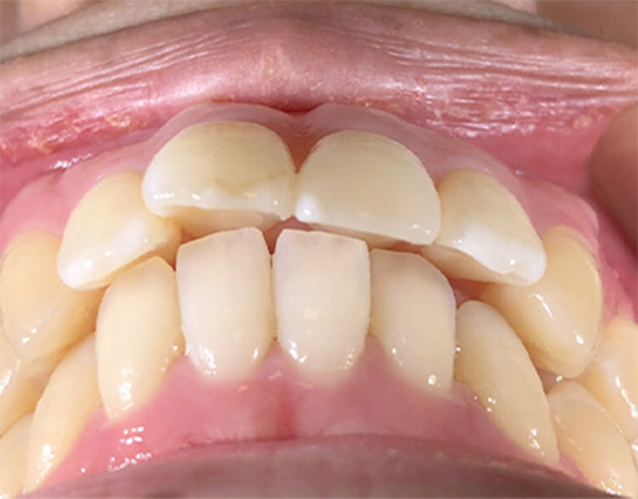
出っ歯の治療例 ※2024年提案時
患者さんの主訴
上顎の2⏊2が出っ歯が気になるので、引っ込ませたい。
当院からの提案プラン
Before

提案プラン1
前歯が約3mm引っ込む治療

マウスピース21枚・IPR無し・税込60万円
提案プラン2
前歯が約5mm引っ込む治療

マウスピース88枚・抜歯有り・税込120万円
患者さんが選択された治療
提案プラン1
前歯が約3mm引っ込む治療
| 使用したマウスピースの個数 | 21枚 |
|---|---|
| IPR(歯と歯の間を削る)の有無 | 無し |
| 抜歯の有無 | 無し |
| 矯正除痛加速装置 | 無し |
| 治療期間 | 8ヶ月(2023/09/13〜2024/05/27) |
| 治療費 | 60万円(税込) |
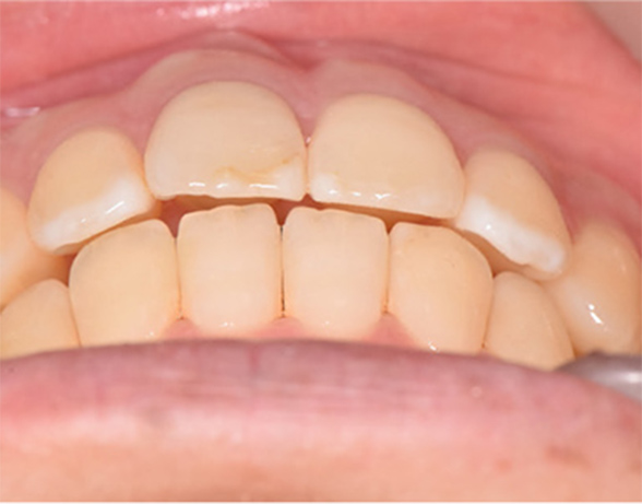
Before


After


リスク・副作用
- 矯正治療中は口腔内をより清潔に維持しないと、むし歯・歯周病になるリスクが高まります。
- 矯正装置を付けた後、歯に痛みや不快感を感じることがあります(基本的には数日で治まります)
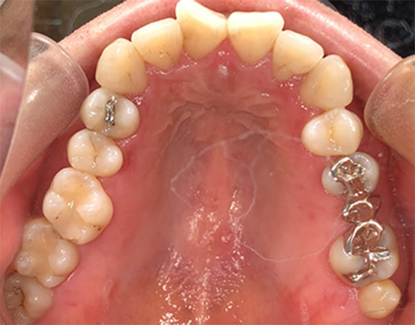
叢生の治療例 ※2024年提案時
患者さんの主訴
下の前歯ガタガタで上の歯が外を向いているので治したい。また左上のブリッジを外さず、臼歯を動かさずに治したい。
当院からの提案プラン
Before

提案プラン1
IPR無しで治療

マウスピース14枚・IPR無し・税込50万円
提案プラン2
IPR有りで治療

マウスピース14枚・IPR有り・税込60万円
患者さんが選択された治療
提案プラン2
IPR(歯と歯の間を削る処置)有りで治療
| 使用したマウスピースの個数 | 14枚 |
|---|---|
| IPR(歯と歯の間を削る)の有無 | 有り |
| 抜歯の有無 | 無し |
| 矯正除痛加速装置 | 無し |
| 治療期間 | 4ヶ月(2024/10/19〜2025/02/25) |
| 治療費 | 60万円(税込) |
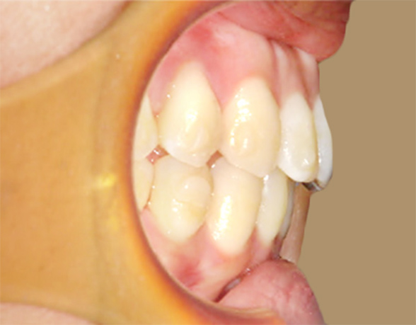
Before


After


リスク・副作用
- 矯正治療中は口腔内をより清潔に維持しないと、むし歯・歯周病になるリスクが高まります。
- 矯正装置を付けた後、歯に痛みや不快感を感じることがあります(基本的には数日で治まります)
3Dスキャナー
(アイテロエレメント)で
「歯並びをデザイン」
光学スキャンでお口の型取りを行うアイテロエレメント(iTero element)を導入しました。その特徴を紹介します。
特徴1
あの苦しい型取りが不要

歯列矯正では型取りは必須となる作業です。しかし「苦しい」「苦手」という方も多いのではないでしょうか。
アイテロエレメントを利用すれば、この苦しい型取りは不要です。歯に光を当てるだけなので、特に嘔吐反射の強い方におすすめです。
特徴2
治療前にシミュレーションが可能

この装置でスキャンすることで「治療前」「治療後」の歯並びを、その場でお見せすることが可能になります。
特徴3
治療精度の向上

従来の型取りに比べ、高い精度でお口の構造を読み取ることが可能です。
矯正治療では型取りのデータをベースに治療を行うため、もとの精度が高ければ仕上がりも精度も高くなります。
特徴4
治療期間の短縮

スキャンデータは「データ」で保存され、すぐに技工所などに情報を送れます。
データのやり取りに時間がかからないため、治療期間の短縮につながります。
特徴5
むし歯チェック機能

お口の中をスキャンすることで、むし歯の状態を同時にチェックすることができます。
見えにくい位置にあるむし歯も発見しやすくなり、早期発見が期待できます。
治療の流れ
Step1 無料相談&3Dスキャン

インビザライン矯正の相談を行っております。歯並びを拝見させていただき、治療期間や費用などの目安についてご説明いたします。疑問や不安に思われることは何でもご質問ください。
またこの際に簡易シミュレーションを行うことが可能です。3Dスキャナーで歯並びをスキャンすることで、「治療前」「治療後」の歯並びを、その場でお見せすることが可能です。
Step2 精密検査

レントゲン写真、セファロ写真、お顔の写真など必要な資料どりを行います。それぞれの患者さんに合った治療方針を決めます。
この段階で患者さんに合わせた治療プランを複数提示いたします。
Step3 治療計画説明

検査結果をもとに作成した3Dコンピュータ画像にて、治療開始から完了までのシミュレーションを行います。このとき、ご自分の歯がどのように動いていくのかを、立体的なアニメーション画像でご確認いただくことができます。治療計画にご承認をいただくと、矯正の期間・料金が正確に決まります。患者さんに合わせた治療プランを複数提示いたします。
初期治療(必要であれば)

マウスピース装置を着ける前の準備をします。むし歯や歯周病がある人は、この段階で治療を行います。抜歯は、極力行わない治療をご提案しています。歯磨きの指導も行います。
米国のアライン社(インビザラインを設計、製造、販売している会社)にデータを送ります。患者さんのデータから、アライン社の担当スタッフがデジタル3Dの歯列を作製。患者さん一人ひとりに合わせたマウスピースが作製されます。全てのマウスピースがパッケージ化され、箱に詰められて日本に送られてきます。
Step4 最初のマウスピースセット&取り扱い説明

IPRやアタッチメントのセットを行います。マウスピースの装着時間は1日22時間以上を目安にして下さい。飲食や歯磨き以外はマウスピース装着するようにします。交換タイミングは年齢によって異なりますが、3日〜7日で新しいマウスピースに交換します。
Step5 経過チェック

約1ヶ月に1回のペースで通院していただきます。装着状態を確認し、必要であれば歯のクリーニングも行います。
Step6 保定期間

噛み合わせや歯の状態をチェックします。歯並びを改善しても、舌の癖などが原因で元の状態に戻ってしまうことがあります。きれいな歯並びを安定させるため、成人の場合は一生保定装置(リテーナー)を装着します。
インビザライン
担当医からのメッセージ

古くから行われているワイヤー矯正と比べて、マウスピース矯正は比較的新しい治療法です。インビザラインは1997年にアメリカにあるアライン社によって開発され(ちなみに開発者は歯科医師)、日本で使用されるようになったのは2006年からです。そこから現在まで技術の進歩は目覚ましいもので、インビザラインは、実際、ほとんどの工程はコンピューター処理され、人間の手がほとんど加わりません。
しかし人間が関わる工程で一番重要なのは、治療計画(3Dシミュレーション)を作成する工程です。
矯正学的に本当にその方に合った仕上がりになっているのかという審査診断はやはりまだAI任せにはできず、人間の判断が必要です。
私は治療計画を作成する上で、問題があると判断した場合は、再度、設計し直し、問題がなくなるまで何度も再作成を繰り返します。この診査を誤ってしまうと、歯が動かないばかりか、余計に歯並びが悪化してしまう事もあるからです。
「歯を抜きたくない、できるだけ早く治したい、前歯だけ治したい」という患者さんの御要望に寄り添いながらも、歯科医学的にも問題のない治療計画を作ることを一番大切にしています。
インビザラインQ&A
Q.装置装着中、痛みはありますか?
A.マウスピースは歯を動かす力が決められているため、痛みは抑えられます。新しいマウスピースを装着する時に、少しきつい感じがある程度ですが、数時間で慣れる方が多いです。また、ワイヤーを使用していないため、口の中を傷つけることもありません。
Q.マウスピースをつけてしゃべりにくくならないの?
A.初めての時は、しゃべりづらいこともあるかもしれません。しかし、2~3日すると違和感なくお話しできる場合がほとんどです。
Q.マウスピースをつけたまま運動はできるの?
A.できます。ワイヤーの場合、激しいスポーツの場合、人とぶつかって口の中が(ワイヤーにより)切れるということが多くあります。マウスピースの場合その心配はありません。
Q.所定時間、装着し続けられるかが心配です……
A.マウスピース矯正の場合、ワイヤーと大きく違うのは、マウスピースを決められた時間装着しないと歯が計画通りに動きません。インビザラインには、装着時間を示すインジケータが内蔵してあり、装着時間の目安を目で確認できます。
Q.むし歯にならないの?
A.ワイヤーによる矯正治療は、装置が常に入っていますので、どうしても磨き残しなどが生じてしまい、むし歯になりやすくなってしまいます。しかし、インビザラインは簡単に取り外しをしてブラッシングが出来ますので、お口の中を清潔に保つことができます。
Q.インビザラインは上下合わせおこなっていますか?
A.インビザラインは上下合わせて行っています。

