当院の根管治療について

当院では原理原則に則り、基本に忠実な「根管治療(根っこの治療・神経の治療)」を実施しております。
むし歯が進行すると、歯の神経(歯髄)まで達します。
こうなってしまうとむし歯菌が感染した神経を取り除き、根管(神経が入っている管)を綺麗に清掃してから被せ物をする治療を行います。
一見簡単な処置のように思えますが、「根管を綺麗に清掃する作業」は非常に困難を極めます。
なぜなら、根管は非常に複雑に入り組んでおり、しっかり清掃を行わなければ、「痛み」「腫れ」などの原因となり、「根尖病巣」という病気にもなるためです。
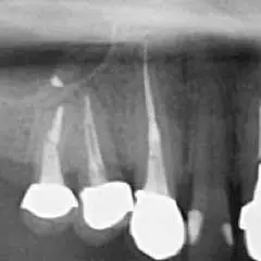
下の画像ですが、「黒い部分」が神経の入っている管であり、このすべてを綺麗に清掃する必要があります。

従来までは、「肉眼」でこの治療を行っていました。
しかし、上記画像のように、神経が入っている管は非常に複雑に入り込んでおりますので、「肉眼」ではしっかり作業することは不可能です。つまり、従来法の根管治療とは「勘」や「経験」に頼った治療で、時には「再治療」そして「抜歯」の選択を迫られることも多々ありました。
しかし、マイクロスコープ(歯科用顕微鏡)を利用することで、今まで見えなかったものが見えるようになり、しっかり目で確認しながらの治療が可能になります。このマイクロスコープを含め、当院で実施している根管治療の方法を簡単にご紹介いたします。
日本・諸外国の根管治療成功率
日本と米国では大きく根管治療成功率が異なります。これは日本では保険診療のルール内で行う必要があるため、使用する材料や設備に縛りがあるためです。
日本での根管治療成功率

諸外国の根管治療成功率
1回目の治療
94%
再治療非外科処置
82%
1回目の治療マイクロスコープ
使用の外的処置
96%
再治療外科処置
66%
日本と米国の根管治療成功率比較

日本と米国の根管治療比較表
| 日本式根管治療(保険診療) | 米国式根管治療(自費診療) | |
|---|---|---|
| ラバーダム防湿 (口腔内の細菌防御) |
無し ラバーダムは手間がかかりコストが高いため、日本のほぼ全ての歯科医院で使用されていません。 |
有り(+漏洩封鎖レジン使用) 処置中、歯の中に唾液や細菌が侵入することを徹底的に防ぎます。 |
| 清掃に使用する道具 | ステンレススチール製切削針+フリーハンド ステンレススチールは神経の管に追従しにくく、手作業に時間がかかります。 |
ニッケルチタン製切削針(形状記憶合金) 新品の切削ドリルと電動治療機を導入し、各患者ごとに個別に滅菌された器具を使用しています。 |
| 使用する機器 | 肉眼 治療は肉眼と歯科医師の経験・技術に頼ります。必要に応じて拡大鏡も使用することもあります。 |
CT + マイクロスコープ CTスキャンによる診断とマイクロスコープを用いた正確な病変の把握により、「見える」治療を実践します。 |
| 治療時間・回数 | 1回15分・4〜8回 | 原則1回60〜90分・1〜3回 |
| 治療薬 | ゴム(保険の材料) ガッタパーチャというゴム材料を使用しているので密閉性が低く、破損しやすいです。 |
MTAセメント(保険外の材料) 高い密閉性、抗菌性、生体親和性を持ち、身体に安全な材料(MTAセメント)を使用しています。 |
【参考文献1】
須田 英明, わが国における歯内療法の現状と課題, 日本歯内療法学会雑誌, 2011, 32 巻, 1 号, p. 1-10
【参考文献2】
de Chevigny C, Dao TT, Basrani BR, Marquis V, Farzaneh M, Abitbol S, Friedman S. Treatment outcome in endodontics: the Toronto study–phase 4: initial treatment. J Endod. 2008 Mar;34(3):258-63.
成功率を上げる
「可視化」精密根管治療の
ご紹介
当院で実施している「可視化」根管治療は前述した日本式根管治療ではありません。そのため通常より「再発しにくい」ことが特徴です。
下記にそれぞれ特徴をご紹介いたします。
特徴1
治療精度を飛躍的に高める「マイクロスコープ」

マイクロスコープとは、治療部位を高倍率で拡大する歯科用顕微鏡です。
根管治療においては、どれだけしっかりと問題部位を確認できるかが成功の成否を分けますので、成功率を上げるためには欠かすことができない機材になります。
下の動画はマイクロスコープを活用した治療動画になります。肉眼では見る事の出来ない視野で治療を行う事ができます。当院でマイクロスコープを導入することにより、「抜歯」という最悪のシナリオを避けられる可能性が飛躍的に高まり、かつ、患者さんの来院回数も大幅に減らすことにも成功しています。
当院で処置した症例をご紹介します。
他院で抜歯と言われてしまった歯でも抜歯せずに対処した症例も多数あります。
| 治療期間・回数 | 2ヶ月(2022/07/15〜2022/09/10) |
|---|---|
| 費用 | ・抜髄
前歯55,000円(税込) ・再根管治療 ・上記プラス補綴 |
| リスクや副作用 | もともと亀裂があったりする場合、破折、抜歯などのリスクがある 1時間の治療 |
特徴2
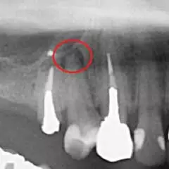
一般のレントゲンでは確認できない部位までも可視化するCT装置

CTはマイクロスコープ(歯科用顕微鏡)同様、治療部位を「見える化」させる機器です。通常のレントゲン(デンタルエックス線写真)でも大まかには判断可能ですが、CTを用いる事で、デンタルエックス線写真では発見できないような微細な病変も発見することが出来ます。
赤丸部分が問題の個所になりますが、一般的なレントゲンではしっかりと確認することは出来ませんが、
治療をする上で、最初の診査診断が非常に重要となります。
なぜなら、最初の段階で正確な診断を下さなければ、誤った治療法を選択し、最終的には残せる歯も残せなくなる恐れがあるためです。
当院では「見える化」できるCTを活用し、誤った診査診断を回避するための細心の注意を払っております。

CT画像
レントゲン画像
特徴3
再感染・再治療を回避する「ラバーダム」

唾液が患部に侵入することを防ぐ装置は、根管治療を成功させるためには必須のものです。
ラバーダムを使用することで、様々な口腔内細菌が根管に侵入するのを防ぎ、無菌的な処置を行うことが可能になります。逆を言えば、この装置なしで行う根管治療は細菌感染の可能性が高まり、再治療の原因ともなります。
根管治療でラバーダムを行うことは欧米では必須の処置となります。当院で行う根管治療はこの装置を使った治療をしっかり実施しておりますので安心して頂けたらと思います。
特徴4
歯に優しく柔軟性をもつニッケルチタンファイル(NiTiファイル)

根管治療では、むし歯に侵された神経を除去するために「ファイル」と呼ばれる器具を使用します。この ファイルは大きく分けて二種類あり、ひとつが「ステンレスファイル」、もうひとつが「ニッケルチタンファイル(NiTiファイル)」というものです。
多くの歯科医院ではステンレスファイルのみを使用していますが、当院では十分な柔軟性を持ち、しっかりと細部まで神経を除去できるニッケルチタンファイルも同時に導入しています。
※当院ではニッケルチタンファイルの中でもNiTiファイル レシプロックを利用しています。
特徴5
再科学的なアプローチによる「洗浄・殺菌」

根管治療では、上記でご紹介したファイルと呼ばれるステンレス製のヤスリのような器具で、根管内の汚れを削っていきます。ヤスリでものを削ると細かな削りカスが出るのと同様に、根管治療でもファイルで歯質を削る際にカスが出ます。このカスにはたくさんの菌が存在していますので除去しなければならないのですが、手用の器具ではしっかり除去できません。
この問題を解決するのが「科学的アプローチによる洗浄・殺菌」です。具体的には「高濃度次亜塩素酸水」「EDTA」を活用し洗浄・殺菌を行っていきます。専門的な話になりますので詳細は割愛させていただきますが、簡単にご説明をしますと、これらの薬剤はファイルで生じた削りカスを溶かし、消毒することで根管内をクリーンな状態にし、病気の再発を防ぐものです。当院では、これらの薬剤を用いて可能な限り再治療を防ぐ根管治療を行っております。
特徴6
再発を防止するMTAセメントの活用

根管治療の最後の仕上げとして「根管充填」というものがあり、これは、歯の神経を取ったことにより空洞になった根管内を、緊密に塞ぐことを指します。この隙間をしっかり塞ぐことができなければ、これが原因となり数年が経過した時に再び感染してしまうことがあります。一般的には「ガッタパーチャ」と呼ばれる、ゴムのようなもので隙間を塞ぐのですが、冒頭で画像をお見せしたように、根管内は複雑な構造になっていますので、隙間を残してしまうことがあるため、再治療を行うケースが多いのです。
それに対して、「MTAセメント」と呼ばれるものは前述した隙間をしっかりと塞ぐことができ、かつ、殺菌作用および歯の組織を再生させる効果があるため、治療後の経過が非常に良好になります。当院では、根管の高い封鎖性、適合性、歯と一体になる再石灰化性を持つMTAセメントを使用しています。
技術を要する「歯根端切除術」「再植術」の実施
通常の根管治療を行っても症状が改善しない場合は、「抜歯」の選択が一般的です。
しかし当院では「歯根端切除術」や「再植術」を実施することで、可能な限り歯を残す治療を行っています。
歯根端切除術

神経を取った後の治療(根管治療)がうまくいかなかった場合、根っこの先っぽの方に「膿の袋」ができる場合があります。膿の袋があまりに大きい場合には抜歯になりますが、そうでない場合は、外科的に根尖(根の先っぽ)を切断すると同時に膿の袋を摘出する処置を行います。これを歯根端切除術と言います。
再植術
再植術とは、問題のある歯を一旦「抜歯」し、口腔外でしっかり処置をし、再度口の中に戻す術式です。お口の中での治療では治療する際様々な制限がありますが、一旦抜歯すればそのような制限がなくなり、360°自由な視点で問題個所の処置が可能になります。
よくある質問
Q.根管治療とは何ですか?
A.根管治療とは、歯の神経をとる「抜髄」と細菌感染した根管の中をきれいにする「感染根管治療」に分けられます。
その目的も治療法もほとんど同様で、死んでしまったり細菌におかされた歯髄や汚染された象牙質を取り除き、根管を清掃・消毒してから細菌が繁殖しないように、根管内を密封します。
Q.大きなむし歯であるため、神経をとらないといけない言われました。
マイクロスコープを使用して神経をとる必要があるか否かを判断できますか?
A.レントゲンやCTを撮影したのちに、その必要性の有無の診査診断しております。
マイクロスコープを使用する目的は、治療精度を高めるために、治療部位を拡大視しながら処置する精密治療を提供する目的で使用しております。
Q.根管治療にかかる時間や回数はどれくらいですか?
A.治療部位や、歯の状態によっても難易度が上がる場合があります。
その場合、当院でも多くの治療回数や、予約の都合上期間も要する時もございます。
目安として根管治療だけでしたら、抜髄の場合30分/1回で通院は2~3回程度、感染根管の場合は、30分/1回で通院は3~4回以上かかる場合もございます。特に他院で治療を行った場合の再治療に関しては、通院が長引くケースもあります。
また、まれに根の病巣が大きい場合、一回治療を終えてから数か月後に、病巣が治るのを確認してから再度治療を行う場合もあります。
Q.根管治療を行う際の費用はどのくらいになりますか?
A.根管治療には、マイクロスコープを使用し行う治療と、使用しない治療の2種類があり、費用も方法によって変わります。
マイクロスコープを使用した場合の費用については、こちらを参考にしてください。
Q.一度神経抜いた歯の歯茎が膿むようになりました。
痛みがないのであれば、治療せずこのまま様子をみましょうと言われています。このまま放置していいのでしょうか?
A.神経を抜いた歯は、再発の可能性が特に高いように感じます。
理由としましては、精密な治療が非常に難しく、再発させないためには、たくさんの条件が必要となるからです。
そのため、被せた物を外すことも必要ですし、再発した歯の洗浄なども必要となります。
ただ、かかりつけの先生が痛みもないなら様子をみましょう、とおっしゃったのもうなずけます。
理由としては、非常に難しい治療の場合があること、再治療を繰り返すほど成功率が下がること(再発しやすい、治りにくい)、治療をしたとしても、日によって痛かったり腫れていたりするその症状が消えるかは、保証ができないこと、などあげられます。
だからといって、放置していて大丈夫なのか、というのは、現時点ではレントゲンなど診断するための資料がないため、はっきりしたことはわかりかねます。
治療を行うことによって発生するリスクなどもありますので、来院してくださった際、診断結果をもとに、お伝えできればと思います。
Q.根管治療してある歯について、根が割れていて抜歯を提案されました。抜歯せず治療できる方法はありますか?
A.基本的に根が割れている場合、当院でも抜歯の可能性が高いです。
しっかり検査を行っていない状態でお答えするのは難しいのですが、抜歯をするかしないかは、割れ方にも関係します。
縦割れで根の先端まで割れているのであれば、残すのは難しいですし、割れている範囲が少なくても、治療が困難になったり、その時は治療が行えたとしても、長持ちする可能性はとても低くなります。
当院では、その他の歯をいかに長持ちさせるかを重要視して考えていきます。割れてしまう原因や、抜かないといけなくなってしまうのには原因があります。その原因は何だったのか調べていただくとよろしいかと思います。そして、その他の歯の寿命を伸ばすことを一緒に考えていければと思います。
Q.他院で治療中なのですが、歯根に病巣があると言われました。まだ抜歯せずにはいますが、完治の望みはかなり低いそうです。そちらではマイクロスコープやCTを使い、他院で抜歯と言われたケースでも抜歯せずに治せたケースなどが掲載されていましたが、その治療は保険適用できる治療もあるのでしょうか?それとも、自由診療になるのでしょうか?
A.マイクロスコープやCTを使用した場合、保険適用になるのか自由診療になるのかについて、保険診療は、基本的に全国どこの医院で治療されてもほぼ同じ治療方法です。
多少使用する薬や道具の違いはあると思いますが、皆保険制度の決められた範囲内で行う、制限された治療です。
当院でも、保険診療内で行えることは、他の医院さんと大きな違いはありません。
保存不可能と言われている歯については、CTで精査することは保険診療内で行えます。
ただ、できる限り歯を残すために最も良い治療方法で行うとなると、皆保険制度に縛られない自由診療の範囲で、マイクロスコープを使用し、精密に根管治療していく必要があるのではないかと思われます。
当院のHPに掲載しています症例写真も、自由診療にてマイクロスコープを使用した症例となっております。
但し、歯の状態によっては、自由診療で行ったとしても必ずしも良くなるとは限らないので、ご理解いただけたらと思います。
Q.根の治療を数ヶ月しています。痛みはなくなりましたが、まだすっきりしません。
このまま続けていって良くなるのか不安になってきました。何か方法はありますか?
A.歯の根が何らかの原因で感染し、根の先に病巣がある状態かと思われます。
進行した場合ですと、抜歯をしなくてはいけないほど病巣が大きく、嚢胞ができている場合もあります。
そうなりますと、通常の根の治療である、根を洗浄したり、薬をいれたりする治療だけでは、不十分なことがあります。
実際、レントゲンの画像やCTの画像での診断が必要かと思いますので、今の時点での判断は難しいのですが、まだすっきりしないということは、通常の治療では難しい範囲なのかもしれません。
歯の部位や状態にもよりますが、当院では、はじめにマイクロスコープを使用することで視野を拡大し、精密な治療を行なうことを提案いたします。
それでも、難しい症例の場合は、歯根端切除、再植などといった、外科的処置をご提案しています。
どの方法でも難しいと判断した場合、抜歯という選択になりますが、特別気になるような自覚症状がなければ、経過観察も選択肢の一つだと思われます。
Q.痛みがありレントゲンを撮ったら根に膿があることがわかりました。どのようなことが原因で膿ができるのですか?治療方法はどのようなものがありますか?
A.膿ができる大きな原因として4つ考えられます。①歯周病 ②むし歯 ③噛み合わせ ④神経の治療済みで再感染です。
①が原因の場合、当院では専用のプログラムを用意しております。
②が原因の場合、むし歯をしっかりと除去し、感染している神経を取り除く治療を行います。
③が原因の場合、噛み合わせの調整を行ったり、マウスピースの使用をお勧めし、症状が改善してくるか経過をみる場合もあります。
④が原因の場合、再度、根に詰めてある感染しているものを除去し、洗浄していきます。
一つのものが原因の場合もありますが、複数の原因が重なって症状が出ていることもございますので、詳細は診断の後に詳しくお話しさせていただいております。

