詰め物・被せ物
「被せもの・被せ物」の種類はたくさんあります。
その中でも当院では、「身体の健康」に焦点を当てた素材を利用しています。
また治療法に関しても「歯・身体の健康」を意識した治療に取り組んできます。
「歯、そして身体の健康」に関心のある方。
是非、このまま読み進めてください。
白い素材でむし歯治療・すきっ歯改善・割れた歯の改善

「44,000円(税込)〜346,500円(税込)」「1回の治療」で
白い素材でむし歯治療、すきっ歯の改善、割れてしまった歯の改善ができます。
「前歯の間にすき間がある」
「前歯の治療した詰め物がまたむし歯になっている」
「前歯の以前治療した詰め物が変色している」
など、口元に悩みをお持ちの方は意外と多く見受けられます。
ところが、一般的な前歯の治療の詰め物といえば、「保険診療内」で使われる白い詰め物が一般的で、この治療だと数年で変色してきたり、再びむし歯になってしまうことが多くありました。
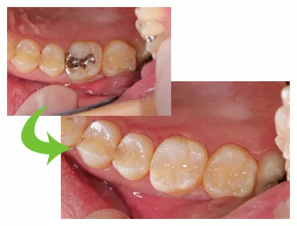
歯科治療に使われる材料は、日々進化を続けており、最近では「コンポジットレジン」という高性能の合成樹脂(プラスチック)を用い、直接お口の中で歯の形を作って修復していく「ダイレクトボンディング」という治療方法が確立されています。
コンポジットレジン

Before
After
| 治療回数 | 1回の通院で行うダイレクトボンディングによる治療(2024/10/07) |
|---|---|
| 費用 | 44,000円(税込) |
| リスクや副作用 | 過度の衝撃で割れることがある |
コンポジットレジンという素材は従来からありました。従来のものは劣化するのが2~3年と早く、変色や経年変化によってすき間からむし歯菌が侵入し、再びむし歯になってしまうなどの問題点も多く、保険治療の安価な材料という認識でした。
しかし、それが近年の各歯科材料メーカーの研究によりクオリティがアップし、強度にも問題なく、審美的な面でもより自然な仕上がりができるようになりました。
興味のある方は、スタッフにお問い合わせください。
ただ治療適応範囲に限界があり、大きな銀歯や、全部を被せるクラウンなどの代わりにはできません。
「歯・身体の健康」に焦点を当てた当院の詰め物・被せ物治療
冒頭にもお伝えした通り、当院では「歯、そして身体」の健康に焦点を当てた治療を行っています。それぞれを具体的にお伝えする前に、なぜ当院が「健康」に関してこだわりを持って治療を行っているかをお伝えさせて頂きます。
当院が「健康」に焦点を当てた歯科治療を行っている理由
皆さんご存知ですか?
歯科治療をすることにより、よりいっそう歯が悪くなってしまうことがあることを。
そして、場合によっては身体の健康までも害してしまう事があることを。
下の画像を見てみてください。
これは銀歯で治療した部分にむし歯菌が入り込み、再治療になったケースです。
一見、外から見ると何でもないように見えますが、銀歯を外してみると中がむし歯になっていることが分かります。

外から見た銀歯
銀歯の中のむし歯

これは銀歯とご自身の歯の間にある「隙間」からむし歯菌が入り込み、むし歯を内部で進行させた症例です。再治療になることで、最初よりも大きく歯を削ることになり、どんどんご自身の歯が少なくなっていきます。最初から再発を防ぐ取り組みをしっかりしていればこうなることを防げたかもしれません。
また、次の画像はお口に入れた「金属」の詰め物・被せ物が原因で「金属アレルギー」になってしまった症例です。



金属が肌に触れることで、かゆみが出たり皮膚がかぶれたりする「金属アレルギー」。対策として金属製のアクセサリーを身につけない方もいらっしゃると思います。しかし金属アレルギー症状は、金属が肌に触れることだけで起こるものではありません。金属の詰め物や被せ物が溶け出し、体内に取り込まれることでも起きてしいます。
また、この金属イオンが歯ぐきに沈着し、見た目を悪くしてしまう事もあります。それが下の画像です。
このように、本来、悪い部分を改善させるための治療が、実は、いっそう歯の健康、そして身体の健康までを害してしまう事もあるのです。
こうなってしまうのは担当医の知識・経験の差に起因する部分もありますが、すでに周知の事実として知れ渡り、医院側がそれにしっかり対応することで防げるものでもあります。
治療したのだから、治療前よりも良くならなければならない。
これは患者さんが考える当然のことであり、当院も当然のことと考えています。
そのため、歯の健康・身体の健康を第一優先とし、それに基づいて実践しています。
それでは具体的に「歯の健康・身体の健康」を達成させるためにどのような取り組みを当院が行っているかをご紹介させて頂きます。
素材の種類
セラミック

セラミックは金属を一切使用していないので体に非常に優しく、詰め物・被せ物どちらにも使用素材です。保険適用の銀歯のように金属イオンが体内に流出する危険性がありません。
またセラミックの中でもジルコニアは、「人工ダイヤモンド」とも呼ばれ、優れた審美性・耐久性を誇ります。食いしばりの強い方にもお勧めです。
ゴールド

ゴールドは金属の1種ですが、銀歯と異なり、非常に体に優しい素材となります。他の素材と比べ歯との適合が良く、2次カリエス(むし歯による再治療)になりにくいのが特徴です。また、貴金属の割合が高い金属を使いますので、金属の溶け出しによる歯ぐきの変色、金属アレルギーなどが起こる可能性が低くなります。
見た目を重視するのであればセラミックが優先されますが、奥歯などあまり目立ちにくい部位で耐久性等を重視するのであればゴールドが第一選択となります。
コンポジットレジン

身体に優しい白いプラスチック素材を利用します。主に「詰め物」で利用される保険適用の素材です。
もちろん金属を利用していませんので金属アレルギーの心配もありません。他の「詰め物」と異なりゲル状の素材となりますので、自由に形を作ることができ、かつ、歯を削る量も少なくすることが出来ます。来院回数も1回で済みます。
| 治療回数 | 1回 |
|---|---|
| 費用 | 44,000円〜82,500円 |
| リスクや副作用 | 過度の衝撃で割れることがある |
硬質レジン前装冠

プラスティックと金属を使用した保険適用の前歯の被せ物です。噛む機能は回復できます。
非常に硬い金属のため、歯を痛めやすく、金属イオンの溶出により、歯茎が黒くなることがあります。またプラスチックはタバコや食べ物によって変色し、数年毎に取り替える必要性が高いです。
「歯を守る治療法」の選択
歯科治療自体、どうしても歯を削りますので、歯の寿命を縮めてしまうことになります。しかし、歯を削る量を少なくし、かつ、再治療を防ぐような処置をすることで可能な限り歯の寿命を延ばすことが出来ます。
当院で行っている「歯を守る治療」の取り組みをご紹介いたします。
取り組み1
「初期治療」~問題のある部分をまずは改善

当院では、すぐに詰め物・被せ物の治療に入ることは致しません。
患者さんのお話をお伺いし、診査診断を行うことは当然ですが、お口の状態が悪い場合(むし歯・歯周病)は、まずその改善から行います。
家を建てる時をイメージして欲しいのですが、まずは地盤の基礎工事をしてから上物の組み立てに進むと思います。これは歯科治療も同じです。
詰め物・被せ物が入る土台となるお口の状態をしっかりと整備しなければ、すぐに取れてしまったり、場合によってはむし歯や歯周病が進行し再治療になってしまうことがあるためです。
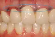
右の症例は初期治療をしっかり行わなかったため、もともと存在していた歯周病が悪化し、歯と歯肉の隙間が生じてしまい審美性が損なわれてしまった症例です。

白い詰め物・被せ物を利用した治療は一般的には「審美性を獲得するための治療」というイメージがあります。患者さんもこれを第一の目的とされる方が多いですので、「すぐに治療して欲しい!」という要望があります。このご要望は理解できます。
しかし、患者さんに考えて頂きたいことがあります。
「一時的な美しさを獲得したいのか」もしくは「長期的に安定した美しさを獲得したいのか」を。
患者さんの「すぐにでも綺麗な歯にしたい!!」というご要望は切に感じています。しかし、医療に携わる人間として、すぐにダメになってしまう治療はしたくありません。
この点、ご理解いただけたらと思います。
取り組み2
可能な限り「神経を除去せずに」治療

歯の神経を抜くとどのようなデメリットがあるかご存知でしょうか。
歯の神経は歯に栄養を与える役割がありますので、神経を抜くことで歯には栄養がいかなくなり、歯がもろく欠けやすくなってしまいます。それだけではなく、細菌への抵抗力も下がり、むし歯が進行しやすくなり、抜歯になってしまうこともあります。
つまり、神経を抜くことで、歯の寿命が縮まってしまうのです。それだけ歯の神経は大事な存在だといえます。
せっかく高額な治療費を払って歯を治療したにも関わらず、むし歯になり歯を抜くようなことになってしまっては、後悔しても後悔しきれません。
医院によっては簡単に神経を抜いてしまうこともあります。当院では極力神経を抜かない治療(ケースによっては抜くこともあります)を心掛けています。
取り組み3
歯と被せものとの間に「隙間」を生じさせない取り組み

歯と被せ物の間に可能な限り「隙間」を生じさせないことは、「歯を長持ちさせる」という意味で非常に大切になります。なぜならば隙間があると、その部分からむし歯菌や歯周病菌が入り込み、詰め物・被せ物の内部でそれらが進行してしまい、再治療になってしまう可能性が高まるためです。
そうならないためにはどうすればいいか。
それは、すべての治療工程で「精密」な治療を行う事しかありません。
この「精密」な治療を行うために当院が利用しているものが「マイクロスコープ」と呼ばれる歯科用顕微鏡です。肉眼の何倍も視野を拡大してくれる装置です。これを活用することでミクロン単位での治療が可能となり、可能な限り歯との隙間をなくすことが出来ます。
取り組み4
噛む力を分散させる精密な「咬合調整」

「咬合」というと難しく感じますが「噛み合わせ」のことです。
少し専門的な話になってしまいますが、「咬合」は歯科治療をするうえで非常に重要となります。
咬み合せがおかしくなるとどのようになると思いますか?
代表的なもので「不定愁訴」と呼ばれる頭痛・肩こり・腰痛などがあります。
その他、噛み合わせが悪くなることで一部の歯に過剰な力が加わることで、歯が動いてしまい歯並びが崩れることもありますし、それが原因でブラッシングがしにくくなり、むし歯・歯周病の原因になってしまう事もあります。
このようなことがあるため、当院ではその方に合った咬み合せの調整にかなりの時間をかけます。具体的には「仮歯」を活用したプロビジョナルという工程を踏みます。
簡単に説明しますと、初期検査で取得した情報をもとに「仮歯」作成します。それを患者さんのお口の中に装着し、お口に合った歯の最終形態を模索していきます。この仮歯は、歯が無い期間をなくすためだけに装着するものではありません。次のような目的を達成するために行う重要なステップとなります。
理想の詰め物・被せ物実現のために

これら全てを、事前に検証することで、「本当に美しく仕上がるのか」「咬み合わせは適切か」「しっかり咬むことができるのか」「長期間機能するものであるのか」などを把握でき、不具合がある場合は随時改善していきます。
ここで皆様にお伝えしたいことは、このような事前の検証を一切せずに、歯科治療を行う事はNGであるということです。そのような治療法は「運だめし」と同じことで、治療とは呼べません。
しっかり仮の歯で事前検証をし、問題が見つかれば随時改善していく。
この過程を踏むことで、初めて理想の詰め物・被せ物が完成します。
院内に常駐する
歯科技工士との密接な連携

当院には院内に歯科技工ルームが設置されています。ここでは専任の経験豊富なセラミスト(歯科技工士)が詰め物・被せ物等を作成します。
歯科技工士とは、歯科医師と連携して詰め物・被せ物を作る職人です。
一般的には、歯科医院と歯科技工所は別の離れた場所にあるのですが、いつでも意見の交換・勉強・情報共有ができる環境がやはり適切だと考え、当院では院内に専門歯科技工ルームを設けました。
院内に歯科技工ルームを設ける事のメリットは下記になります。
メリット1
治療期間の短縮

一般的に詰め物・被せ物等は歯科医院と別の場所にある歯科技工所というところで作成します。そのため、治療開始から治療終了までどうしても時間がかかってしまいます。
当院には「院内」に技工所があるため、これまでのような「時間的ロス」がなくなりました。またちょっとした調整も院内にいる専門の歯科技工士が対応しますので、クオリティの高い調整が可能になります。
メリット2
詰め物・被せ物のクオリティ向上

専任の歯科技工士が院内に常駐しているため、「ドクターとの密なやりとり」が可能になっています。詰め物・被せ物は、歯科医師の指示に従い、歯科技工士が作成します。そのため、密な連携が非常に大切になります。
一般的には歯科医院と歯科技工所は離れた場所にあることが多いので、電話などを通しての連携となり、「密なコミュニケーション」はなかなか難しいものがあります。当院ではいつでも話し合いの場が持てる環境にありますので、自ずと詰め物・被せ物のクオリティが向上します。
メリット3
患者さんとのコミュニケーションの充実

特に「審美性」が重要になる被せ物等を作成する場合、「患者さんの意向を反映させること」が非常に重要になります。「色合い」「形」などですね。これらは何度も調整し患者さんのイメージに近づけていくのですが、一般的にはドクターが患者さんの意向をお聞きし、それを歯科技工に伝え、歯科技工士が作成していきます。これは伝言ゲームと同じで間に人が入れば入るほど「真意」と異なった情報が伝わってしまう事があります。
そのため理想は、実際に被せもの等を作成する歯科技工士が自分の目で確認し、患者さんの意向を伺う事です。当院ではそのような環境が整っています。
院内技工士のチーフ技工士にこの仕事に対しての想いを取材しました。
よくある質問
Q.ブリッジの治療でオールセラミックは行えますか?費用はどのくらいかかりますか?
A.オールセラミックを使用した、ブリッジは、大臼歯には使用しておりません(割れる可能性が高いため)。その他の素材では、ジルコニア(¥88,000(税込)/1本)やメタルボンド(¥132,000(税込)/1本)がブリッジに使用できます。
当院では、ブリッジを行うこと自体リスク(歯磨きなどお手入れのしにくさ、むし歯・歯周病のなりやすさ、歯への負担など)があると考えますので、その他の方法(入れ歯やインプラント)もご提案いたします。
Q.料金表ページのCAD/CAMは耐久性が△になっていましたが、日常生活においてすぐに割れることはあるのでしょうか?
A.割れることは稀ですが、取れることは少ないですがありました。
また、噛む力が大きくかかる前から6番目の歯となると削れて噛み合わせが変化することが歯科医師の間で懸念されています。よって、早々に削れて行く可能性が高いため、2年持てばかなり良い方で、早々にやりかえる可能性が高いと考えています。






