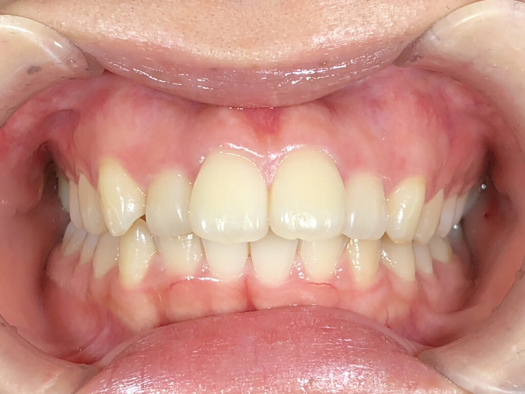
症例集
2026/03/30 ガタガタ(叢生) すきっ歯(空隙歯列)
すきっ歯・叢生の矯正治療(インビザライン)

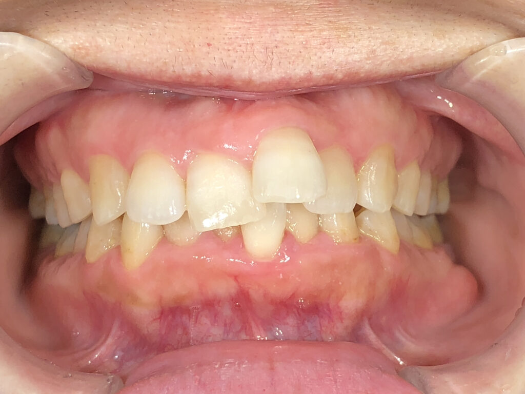
2026/03/28 ガタガタ(叢生)
叢生の矯正治療(インビザライン)

2026/03/13 ガタガタ(叢生)
叢生の矯正治療(インビザライン)

2026/03/09 受け口(下顎前突)
受け口の矯正治療(インビザライン)

2026/03/01 ガタガタ(叢生)
叢生の矯正治療(インビザライン)

2025/12/17 すきっ歯(空隙歯列)
すきっ歯の矯正治療(インビザライン)

2026/03/30 ガタガタ(叢生) すきっ歯(空隙歯列)

2026/03/28 ガタガタ(叢生)

2026/03/13 ガタガタ(叢生)

2026/03/09 受け口(下顎前突)

2026/03/01 ガタガタ(叢生)

2025/12/17 すきっ歯(空隙歯列)

Copyright © 若林歯科 All Rights Reserved.