HOME
若林歯科の紹介
地図・診療時間
WEB初診予約
料金表
院内ツアー
設備紹介
よくある質問
お問い合わせ
ブログ
当院の施設基準
理事長・院長紹介
理事長
院長
インタビュー
専門家集団
成人診療メニュー
重度歯周病改善プログラム
精密根管治療
マウスピース矯正
矯正歯科の症例集
詰め物・被せ物
ホワイトニング
セカンドオピニオン
小児診療メニュー
小児の口腔育成(予防矯正)
小児矯正
-ビムラー矯正-
-床矯正-
-マウスピース矯正-
矯正歯科の症例集
求人情報
スタッフ募集
求人専用 お問い合わせ
歯科医師求人
歯科衛生士求人
歯科衛生士の奨学金制度
歯科助手求人
歯科技工士求人
滅菌・消毒専任求人
受付求人
保育士求人
診療放射線技師
症例集
ホーム
症例集
受け口(下顎前突)
2026/03/09
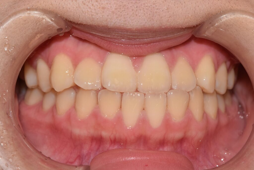
受け口(下顎前突)
受け口の矯正治療(インビザライン)
カテゴリー
出っ歯(上顎前突)
ガタガタ(叢生)
受け口(下顎前突)
すきっ歯(空隙歯列)
前歯噛めない(開咬)
Copyright © 若林歯科 All Rights Reserved.