2026/03/09 受け口(下顎前突)
受け口の矯正治療(インビザライン)
10代の矯正症例
治療前後の比較
正面
治療前

治療後

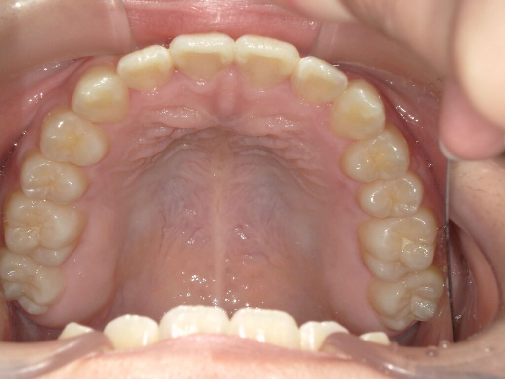
上顎
治療前

治療後

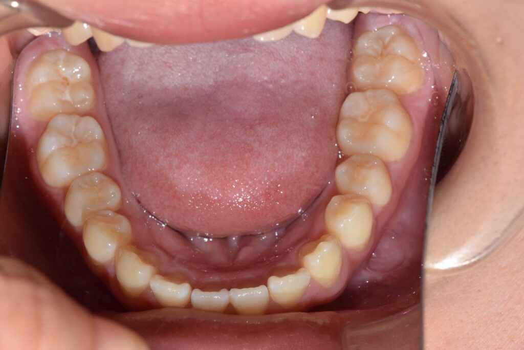
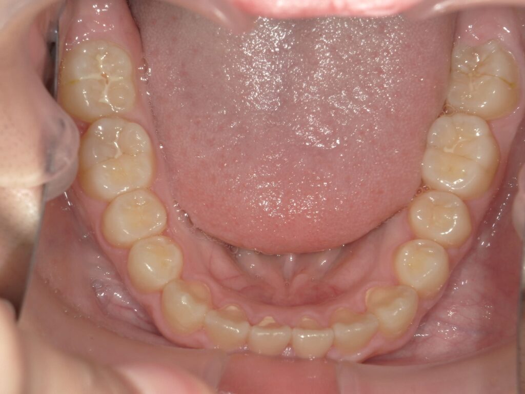
下顎
治療前

治療後

前歯部あおり
治療前

治療後

| 担当Dr. | 米崎 美桜 |
|---|---|
| 患者情報 | 10代女性 |
| 治療内容 |
患者様は前歯の噛み合わせが逆になっている点を気にされていました。反対咬合の状態では、前歯で食べ物を噛み切りにくいだけでなく、放置すると下顎前歯や奥歯への過度な負担が蓄積し、将来的に歯の摩耗や顎関節への影響が懸念されます。インビザラインのライトプランにて14週間の治療を行い、IPRや抜歯を行わずに前歯部の被蓋関係の改善を図りました。なお、正中のずれについては骨格性の要因が大きいと判断し、本治療では無理に改善を行わない方針としました。 |
| 治療期間 | 3ヶ月(2024/06/05~2024/09/25) |
| 治療費用 | 530,000円 税込583,000円 ライトプラン 53万円 |
| リスク・副作用 | ・マウスピース装着初期や新しいアライナーへの交換時に、歯が締め付けられるような違和感や軽い痛みを感じることがあります。通常2〜3日で軽減します。 ・アライナーの装着時間(1日20時間以上)を守らないと、計画通りに歯が動かず、治療期間が延びたり追加のアライナーが必要になる場合があります。 ・矯正治療により歯を動かすことで、歯根が短くなる(歯根吸収)や、歯肉が退縮する可能性があります。 ・歯の動き方には個人差があります。そのため、予想された治療期間が延長する可能性があります。 ・反対咬合の改善後も、成長や加齢による骨格の変化により後戻りが生じる可能性があるため、保定装置(リテーナー)の使用が重要です。 |