2026/03/13 ガタガタ(叢生)
叢生の矯正治療(インビザライン)
20代の矯正症例
治療前後の比較
正面
治療前

治療後

上顎
治療前

治療後

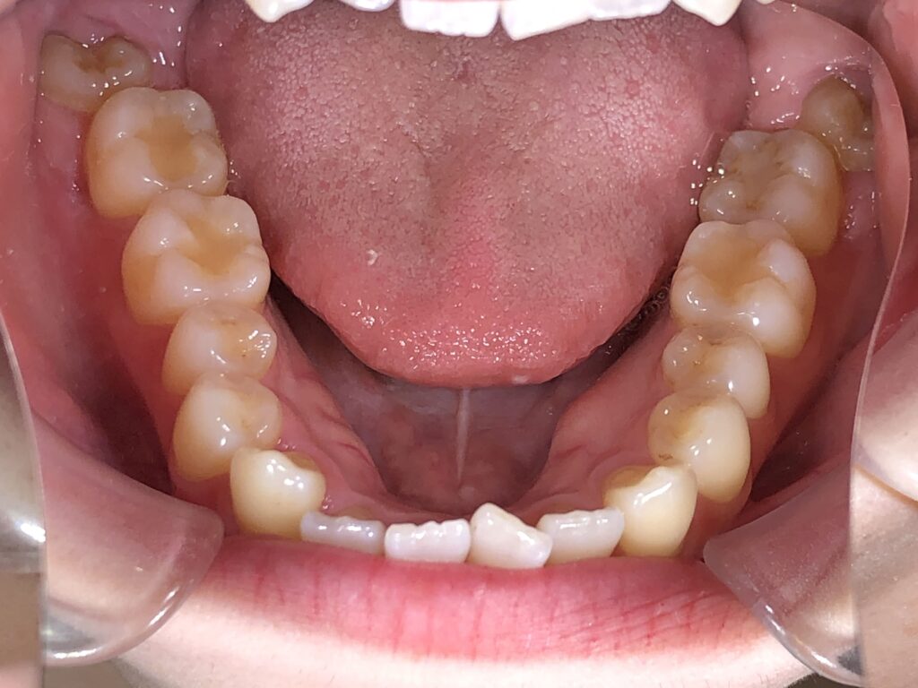
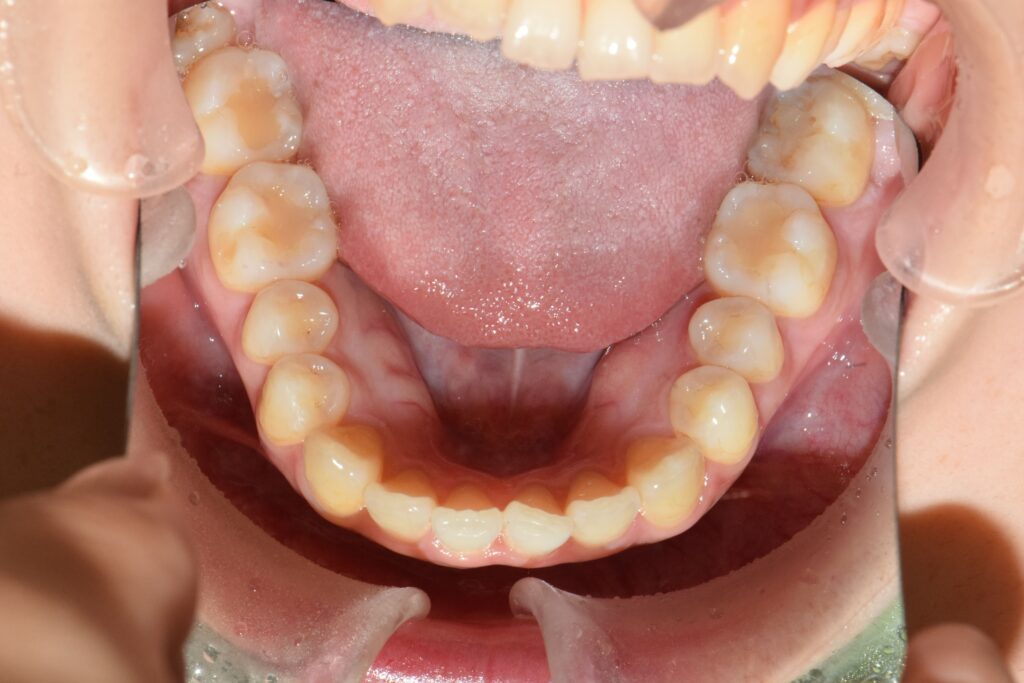
下顎
治療前

治療後

前歯部あおり
治療前

治療後

| 担当Dr. | 米崎 美桜 |
|---|---|
| 患者情報 | 20代女性 |
| 治療内容 |
患者様は上顎両側側切歯の向きのズレと、下の歯のガタつき(叢生)を気にされてご来院されました。歯列の乱れは歯磨きがしにくい箇所を生じやすく、虫歯や歯周病リスクが高まる可能性があります。 |
| 治療期間 | 6ヶ月(2025/02/04~2025/09/01) |
| 治療費用 | 530,000円 税込583,000円 ライトプラン 53万円 |
| リスク・副作用 | ・矯正装置による初期の不快感・痛みがありますが、数日〜1、2週間程度で軽減します ・アライナーを1日20時間以上装着しないと計画通りに歯が動かない可能性があります ・歯の動き方の個人差により、治療期間が延長する可能性があります ・前歯部に若干の捻転が残存する場合があり、仕上げにワイヤー矯正を追加する可能性があります ・歯根吸収や歯肉退縮が起こる可能性があります ・治療終了後はリテーナー(保定装置)の使用が必要です |