出っ歯・叢生の矯正治療(インビザライン)
20代の矯正症例
治療前後の比較
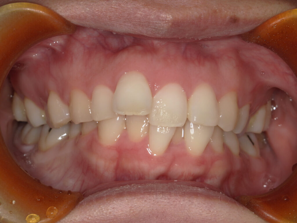
正面
治療前

治療後

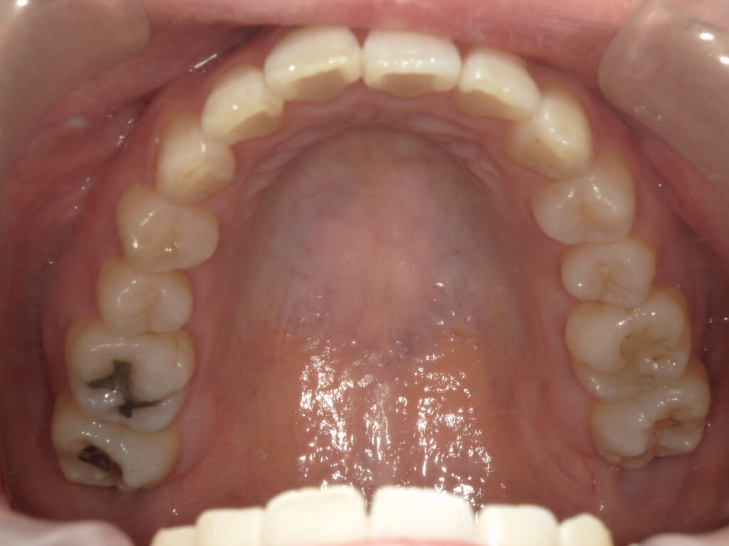
上顎
治療前

治療後

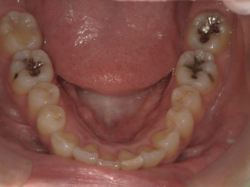
下顎
治療前

治療後

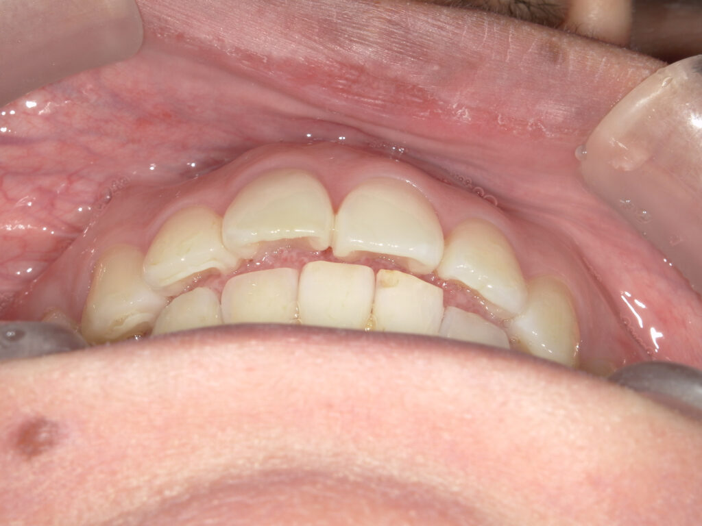
前歯部あおり
治療前

治療後

| 担当Dr. | 米崎 美桜 |
|---|---|
| 患者情報 | 20代女性 |
| 治療内容 |
患者様は上顎前歯の歯並びの乱れと、下顎前歯部の叢生(ガタガタ)を主訴として来院されました。 本症例では、**インビザライン・ライト(14週間)**を選択し、IPR(歯間削合)は行わずに治療を計画しました。 また、下顎前歯部については、歯列全体のバランスを考慮しながら、軽度の叢生改善を行い、清掃性と見た目の両立を図りました。 短期間・非抜歯・IPRなしの治療計画で、患者様の負担を抑えつつ、審美的な改善を目指した症例です。 |
| 治療期間 | 9ヶ月(2024/08/12~2025/05/19) |
| 治療費用 | 税抜53,000円 税込583,000円 ライトプラン 53万円 |
| リスク・副作用 | ・初めの数日は矯正装置による不快感、痛み等があります。数日間~1,2週間で慣れることが多いです。 ・装置の使用状況、定期的な通院等、矯正治療には患者さんの協力が非常に重要であり、それらが治療結果や治療期間に影響します。 ・歯の動き方には個人差があります。そのため、予想された治療期間が延長する可能性があります。 ・歯を動かすことにより歯根が吸収して短くなることがあります。また、歯ぐきがやせて下がることがあります。 |