出っ歯・叢生の矯正治療(インビザライン)
20代の矯正症例
治療前後の比較
正面
治療前

治療後

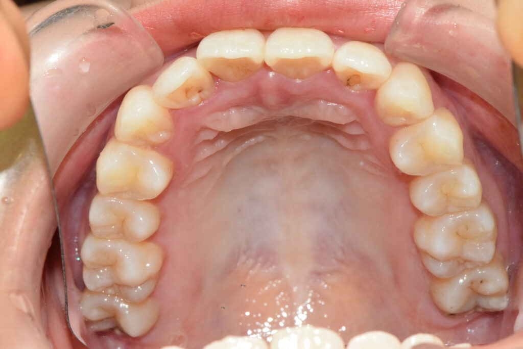
上顎
治療前

治療後

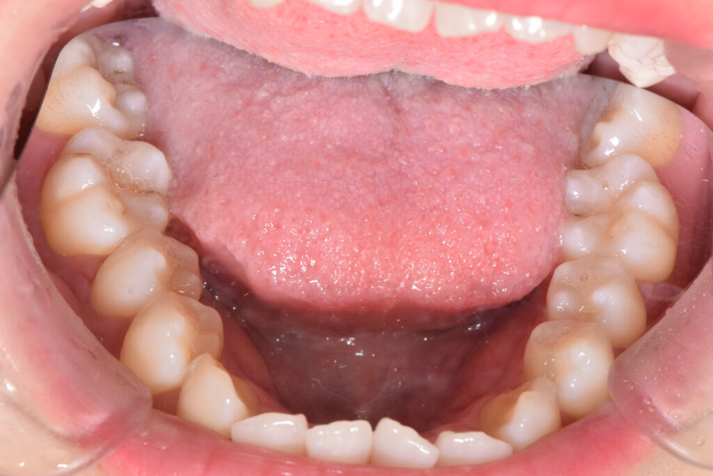
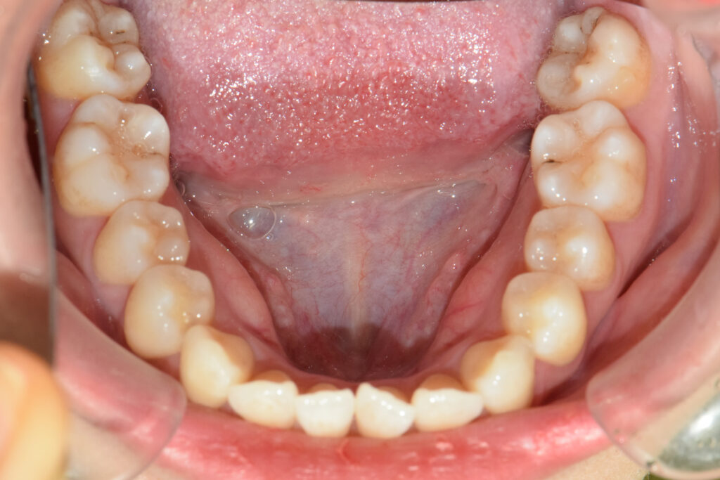
下顎
治療前

治療後

オーバージェット
治療前

治療後

| 担当Dr. | 米崎 美桜 |
|---|---|
| 患者情報 | 20代女性 |
| 治療内容 |
患者様は 上顎前歯(21番)の歯列不正の影響で、口唇が自然に閉じにくい ことを主訴として来院されました。前歯部の軽度な前突により、口元の緊張感が生じている状態でした。 本症例では大きな歯の移動や抜歯は必要ないと判断し、インビザライン・ライト(14週) にて治療を行いました。 比較的短期間の治療で、口唇閉鎖がしやすくなり、口元の自然な印象が改善 しました。 |
| 治療期間 | 5ヶ月(2024/06/24~2024/12/10) |
| 治療費用 | 税抜530,000円 税込583,000円 |
| リスク・副作用 | ・初めの数日は矯正装置による不快感、痛み等があります。数日間~1,2週間で慣れることが多いです。 ・装置の使用状況、定期的な通院等、矯正治療には患者さんの協力が非常に重要であり、それらが治療結果や治療期間に影響します。 ・歯の動き方には個人差があります。そのため、予想された治療期間が延長する可能性があります。 ・歯を動かすことにより歯根が吸収して短くなることがあります。また、歯ぐきがやせて下がることがあります。 |