出っ歯・叢生の矯正治療(インビザライン)
20歳の矯正症例
治療前後の比較
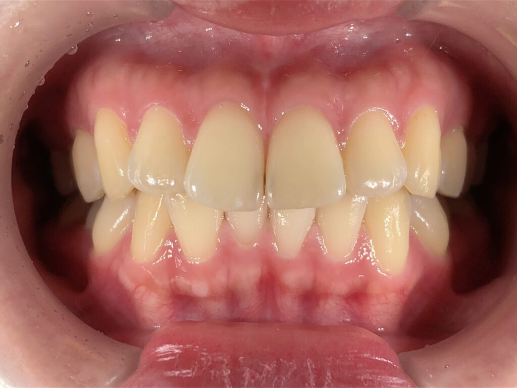
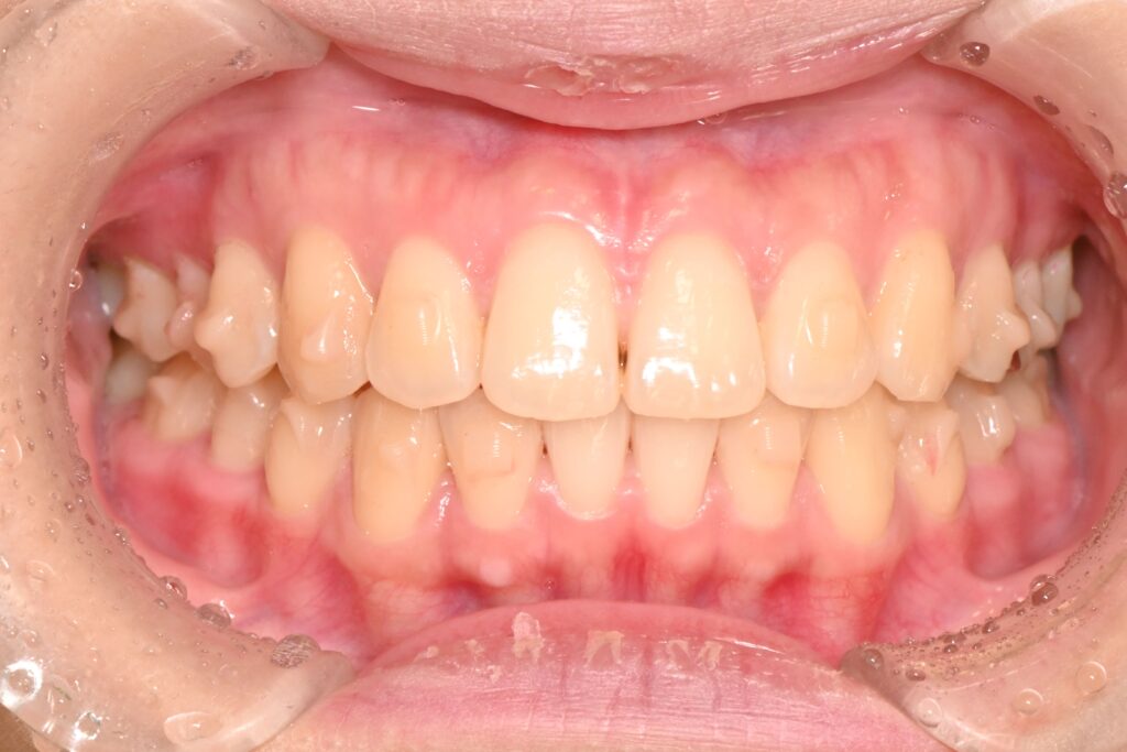
正面
治療前

治療後

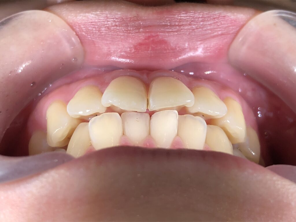
前歯部あおり
治療前

治療後

オーバージェット
治療前

治療後

| 担当Dr. | 米崎 美桜 |
|---|---|
| 患者情報 | 20歳女性 |
| 治療内容 |
患者様は前歯のガタガタを気にされて来院されました。前歯部に叢生(ガタガタ)があり、このまま放置すると清掃性の低下により虫歯や歯周病のリスクが高まる可能性がありました。インビザライン矯正のライトプラン(14枚)を用い、歯列の配列を整えることで機能性と審美性の改善を図りました。IPR(歯間の微量切削)を行わずとも歯列のスペースに余裕があり、自然で美しい仕上がりが得られました。 |
| 治療期間 | 4ヶ月(2025/04/11~2025/08/23) |
| 治療費用 | 530,000円 税込583,000円 ライトプラン 53万円 |
| リスク・副作用 | ・矯正装置装着に伴う初期の違和感や軽度の痛みが生じる場合がありますが、数日〜1週間程度で軽減します ・アライナーは1日20時間以上の装着が必要です。装着時間が不足すると計画通りに歯が動かない場合があります ・叢生の改善に伴い、歯列のアーチが広がることで一時的に清掃方法の見直しが必要になる場合があります ・歯の動き方には個人差があり、治療期間が延長する可能性があります ・歯根吸収や歯肉退縮が生じる可能性があります |