2026/03/30 ガタガタ(叢生) すきっ歯(空隙歯列)
すきっ歯・叢生の矯正治療(インビザライン)
20歳の矯正症例
治療前後の比較
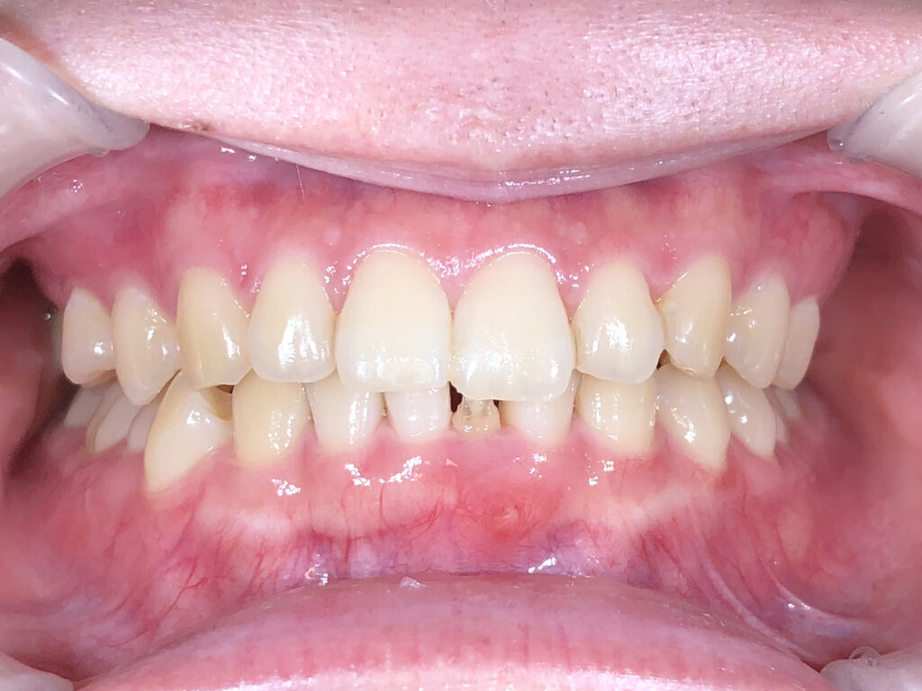
正面
治療前

治療後

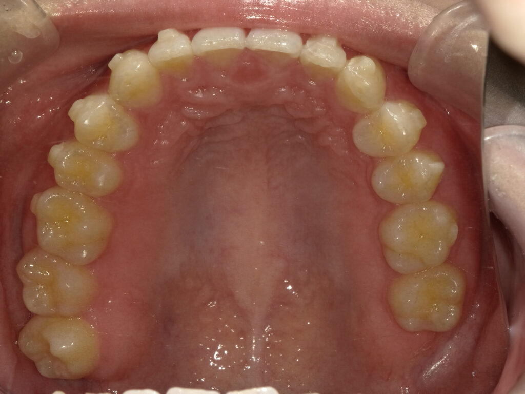
上顎
治療前

治療後

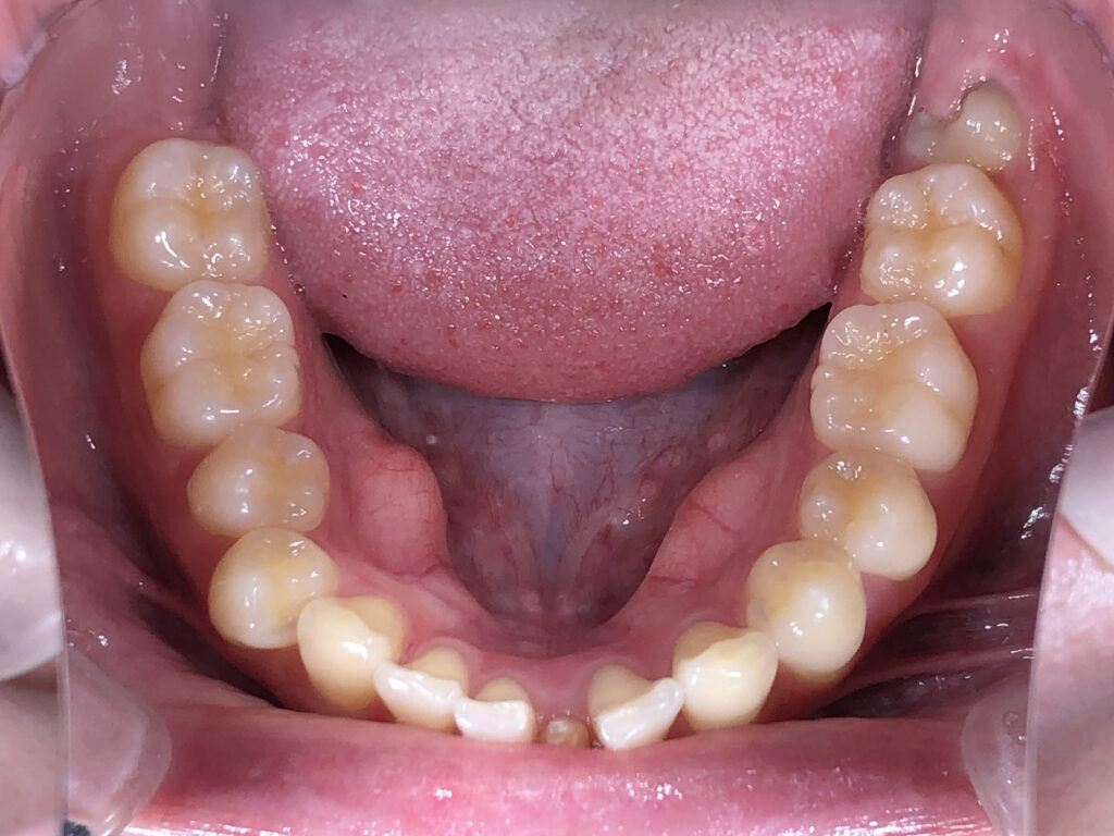
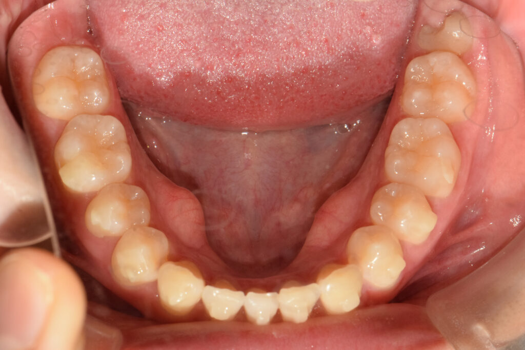
下顎
治療前

治療後

前歯部あおり
治療前

治療後

| 担当Dr. | 米崎 美桜 |
|---|---|
| 患者情報 | 20歳女性 |
| 治療内容 |
患者様は下の歯に先天的に欠如している歯があり、乳歯の形態不良をきにされていました。乳歯を抜歯した際の隙間を閉鎖したいとのことでした。 |
| 治療期間 | 4ヶ月(2025/05/19〜2025/10/06) |
| 治療費用 | 530,000円 税込583,000円 |
| リスク・副作用 | ・矯正装置装着に伴う初期の違和感や軽度の痛みが生じる場合がありますが、数日〜1週間程度で軽減します ・アライナーは1日20時間以上の装着が必要です。装着時間が不足すると計画通りに歯が動かない場合があります ・空隙閉鎖部において傾斜移動が生じる可能性があり、必要に応じてワイヤーによる矯正を行う場合があります ・歯の動き方には個人差があり、治療期間が延長する可能性があります ・歯根吸収や歯肉退縮が生じる可能性があります |