出っ歯・叢生の矯正治療(インビザライン)
20代の矯正症例
治療前後の比較
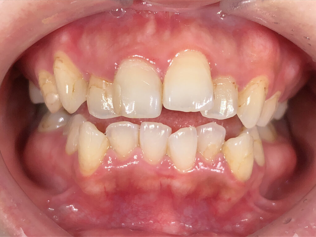
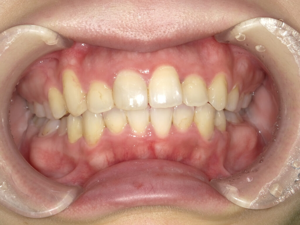
正面
治療前

治療後

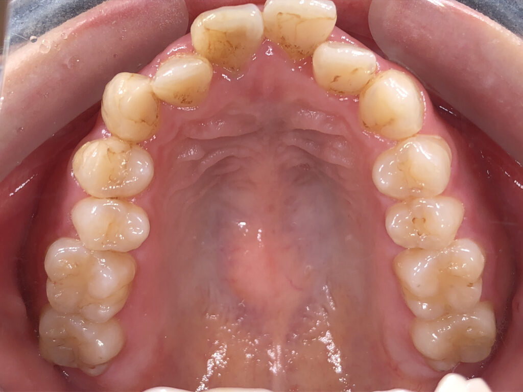
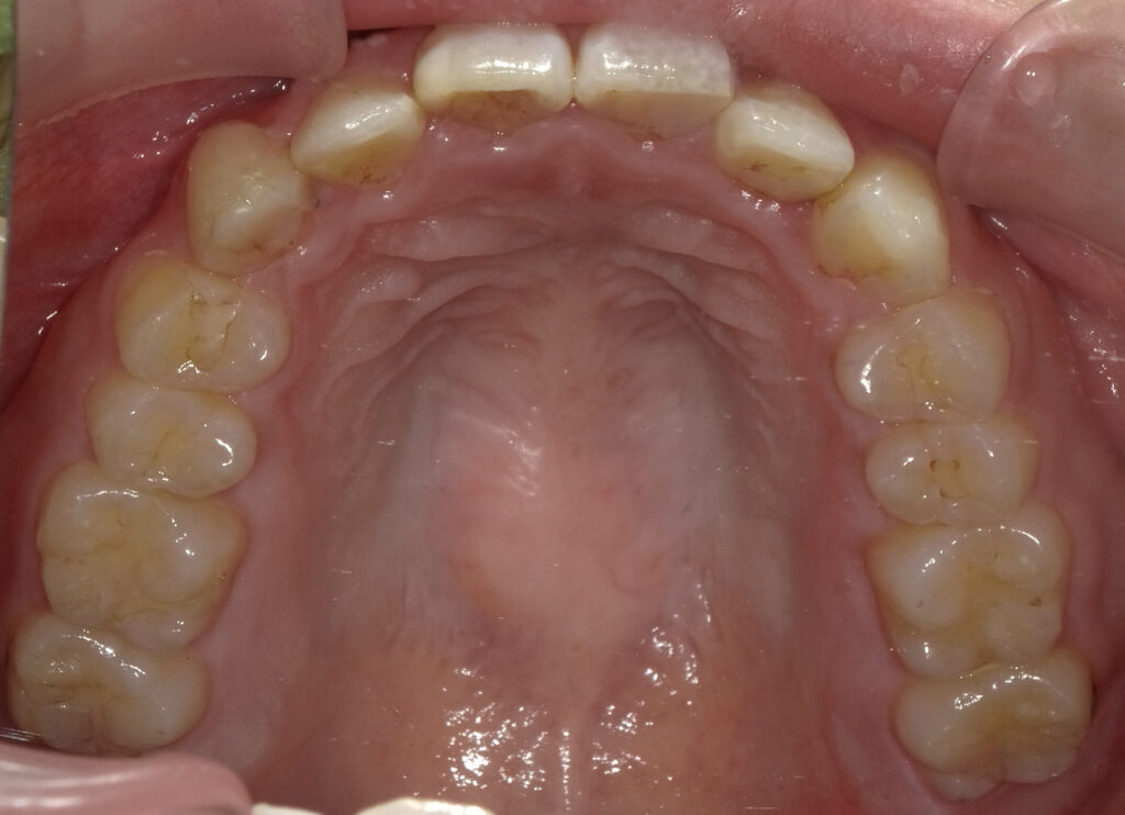
上顎
治療前

治療後

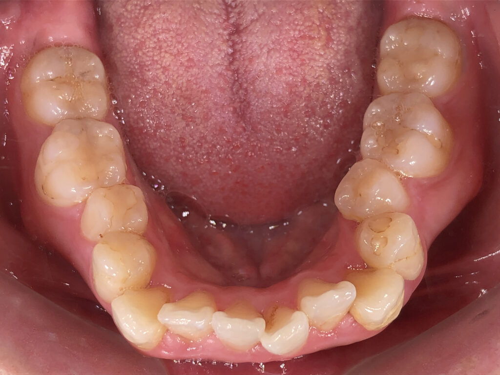
下顎
治療前

治療後

オーバージェット
治療前

治療後

| 担当Dr. | 米崎 美桜 |
|---|---|
| 患者情報 | 20代女性 |
| 治療内容 |
患者様は前歯のガタガタと出っ歯を主訴として来院され、特に「結婚式までに口元を整えたい」という強いご希望がありました。審美面での改善を急がれていたため、治療期間と仕上がりのバランスを考慮し、最適な計画を立案しました。 診査の結果、上顎前歯の前突と叢生が認められ、審美的な調和の改善に加えて、噛み合わせの安定性にも配慮する必要がありました。そのうえで、患者様の希望時期に間に合わせることを優先し、前歯の整列と前突改善を中心とした治療方針としました。 インビザライン治療では、上顎にIPRを行い、Ⅱ級ゴムを併用することで、上顎前歯を約3mm後退させる計画としました。21週のモデレートプランを選択することで、叢生の改善と前歯の後退を効率的に進められるように設計しました。 前歯のデコボコが解消され、前突感も改善したことで、口元全体がバランスよく整い、患者様の大切な結婚式に向けて理想的なスマイルを実現することができました。 |
| 治療期間 | 5ヶ月(2024/12/02~2025/05/21) |
| 治療費用 | 税抜880,000円 税込968,000円 モデレート73万 Ⅱ級ゴム 10万 IPR 5万 |
| リスク・副作用 | ・初めの数日は矯正装置による不快感、痛み等があります。数日間~1,2週間で慣れることが多いです。 ・装置の使用状況、定期的な通院等、矯正治療には患者さんの協力が非常に重要であり、それらが治療結果や治療期間に影響します。 ・歯の動き方には個人差があります。そのため、予想された治療期間が延長する可能性があります。 ・歯を動かすことにより歯根が吸収して短くなることがあります。また、歯ぐきがやせて下がることがあります。 |