出っ歯・叢生の矯正治療(インビザラインファースト)
8歳の矯正症例
治療前後の比較
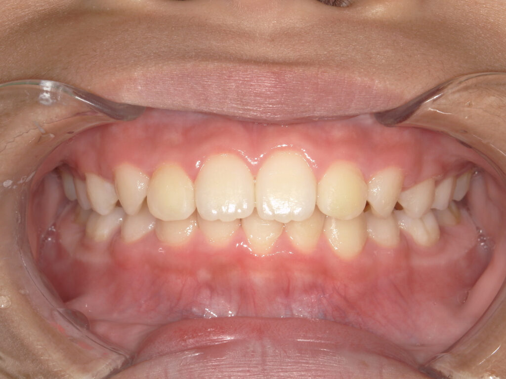
正面
治療前

治療後

保定中経過(1年後)

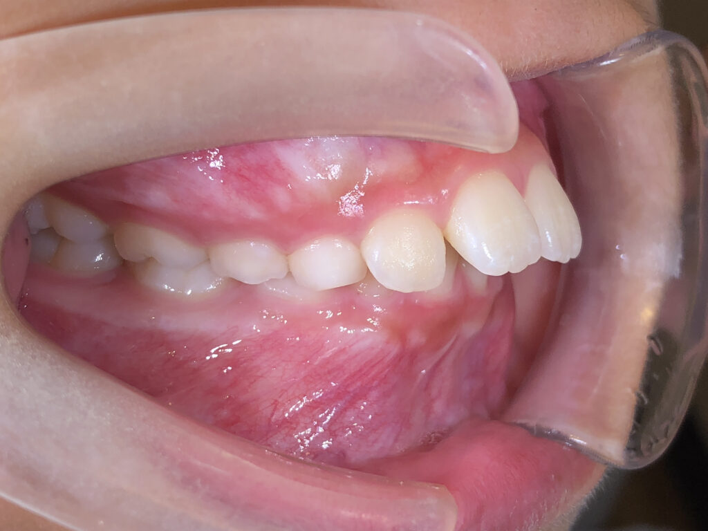
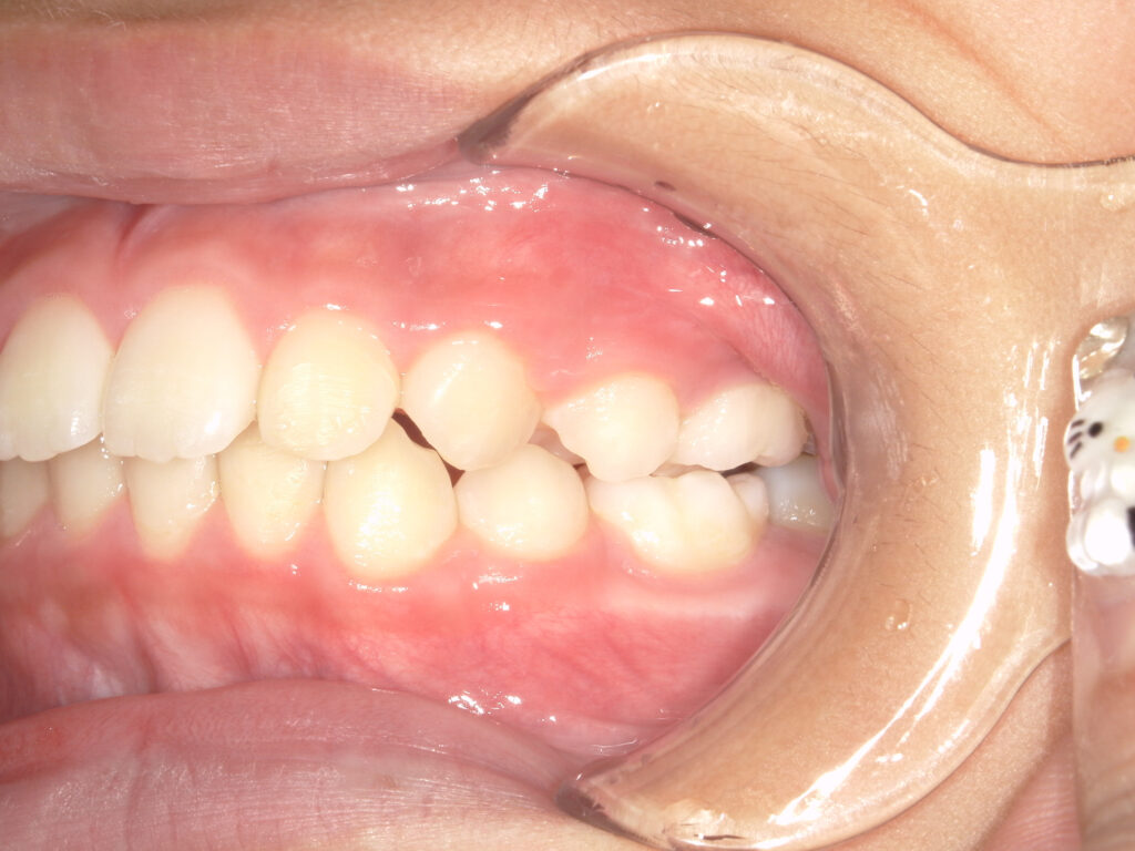
右側
治療前

治療後

保定中経過(1年後)

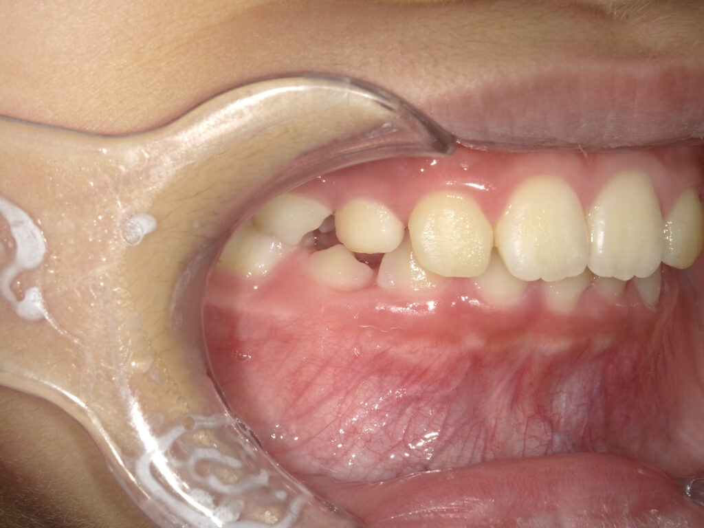
左側
治療前

治療後

保定中経過(1年後)

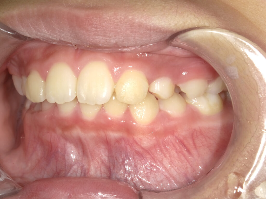
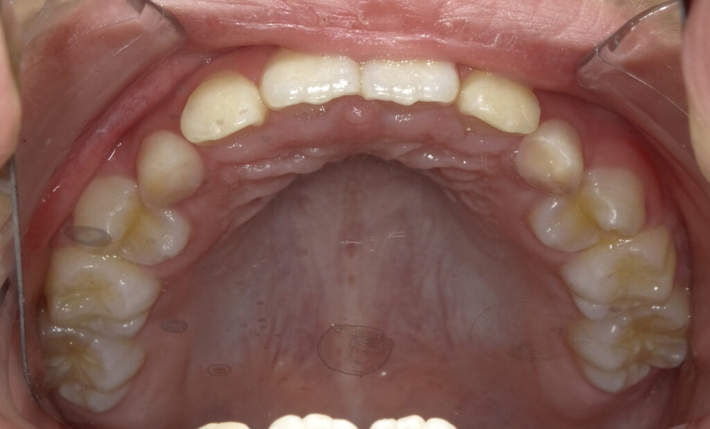
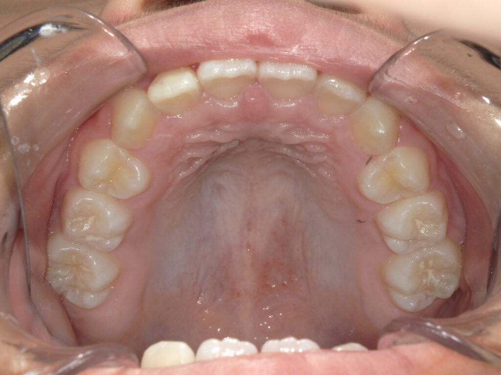
上顎
治療前

治療後

保定中経過(1年後)

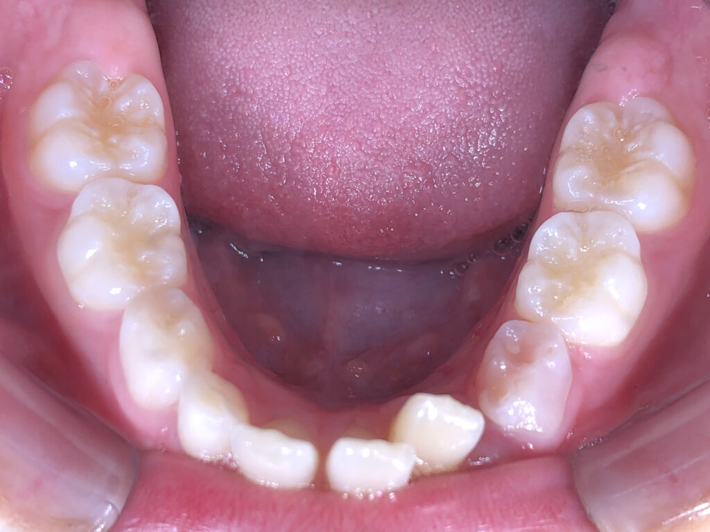
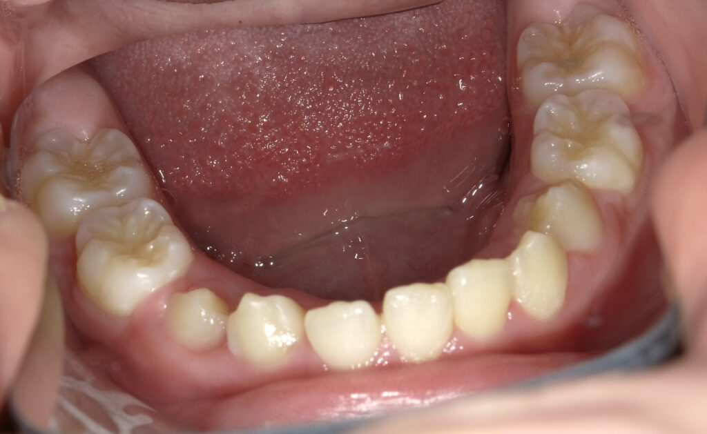
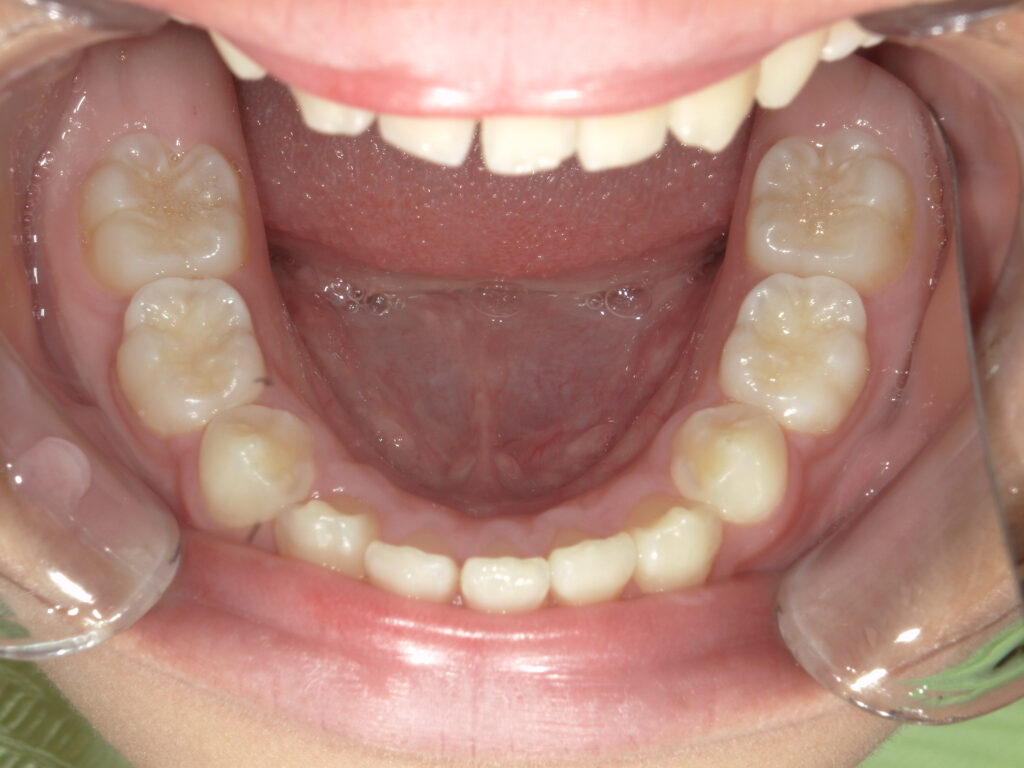
下顎
治療前

治療後

保定中経過(1年後)

オーバージェット
治療前

治療後

保定中経過(1年後)

| 担当Dr. | 米崎 美桜 |
|---|---|
| 患者情報 | 8歳女児 |
| 治療内容 |
保護者の方は、出っ歯を気にされており、下の前歯が上の歯茎に噛み込んでしまい、上手く噛めないとのこでした。元々下の左下乳歯が癒合歯。2┓が先天性欠如歯であることも心配されていました。 乳歯が癒合歯の場合、次に生えてくる大人の歯のスペースが足りずに、歯が生え変わるとどんどん歯並びが悪くなることが予想されるため、犬歯(3つ目の前歯)が生えれるだけのスペースを獲得するため、歯列の拡大を行った。 |
| 治療期間 | 4ヶ月(20231118-20240302) |
| 治療費用 | 税抜600,000円 税込660,000円 |
| リスク・副作用 | ・初めの数日は矯正装置による不快感、痛み等があります。数日間~1,2週間で慣れることが多いです。 ・装置の使用状況、定期的な通院等、矯正治療には患者さんの協力が非常に重要であり、それらが治療結果や治療期間に影響します。 ・歯の動き方には個人差があります。そのため、予想された治療期間が延長する可能性があります。 ・歯を動かすことにより歯根が吸収して短くなることがあります。また、歯ぐきがやせて下がることがあります。 |