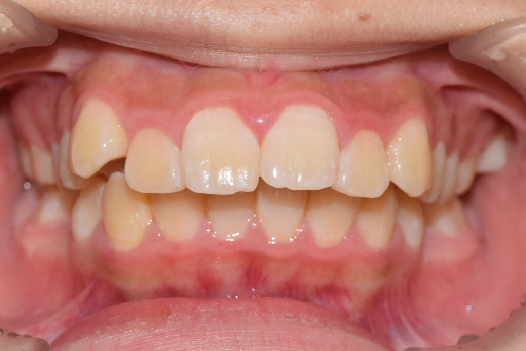
2025/09/12 出っ歯(上顎前突) 前歯噛めない(開咬)
出っ歯・開咬の矯正治療(インビザライン)
20代の矯正症例
治療前後の比較
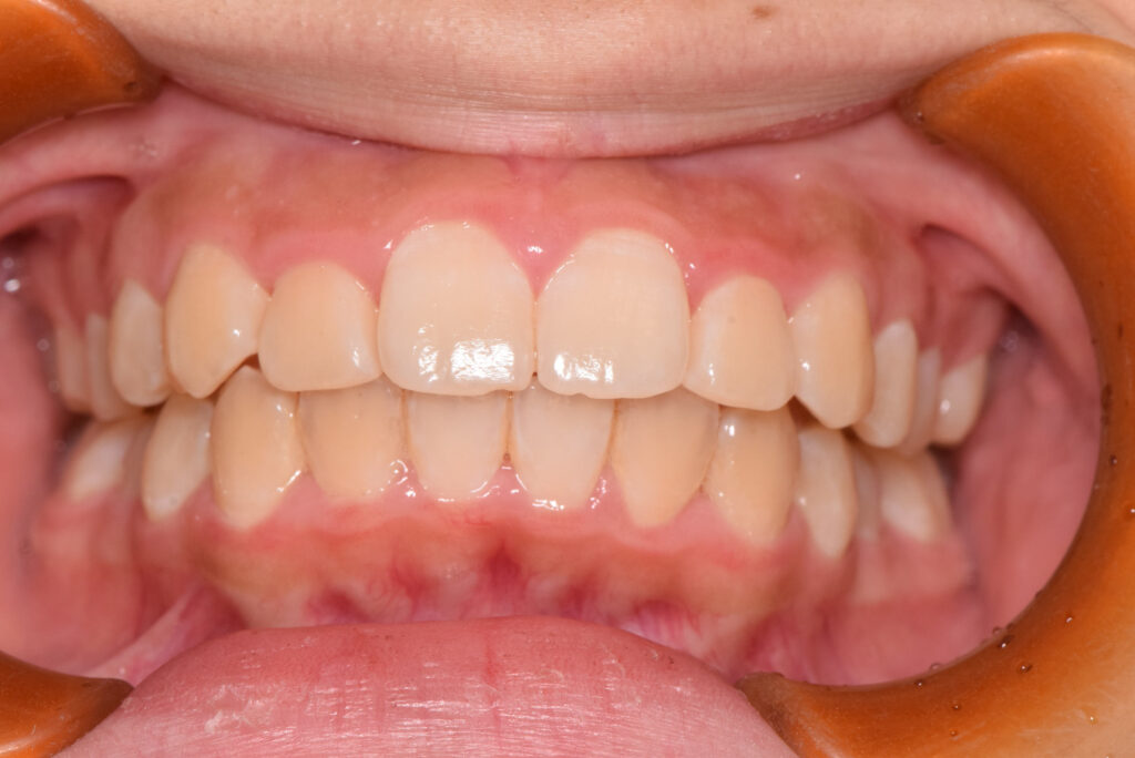
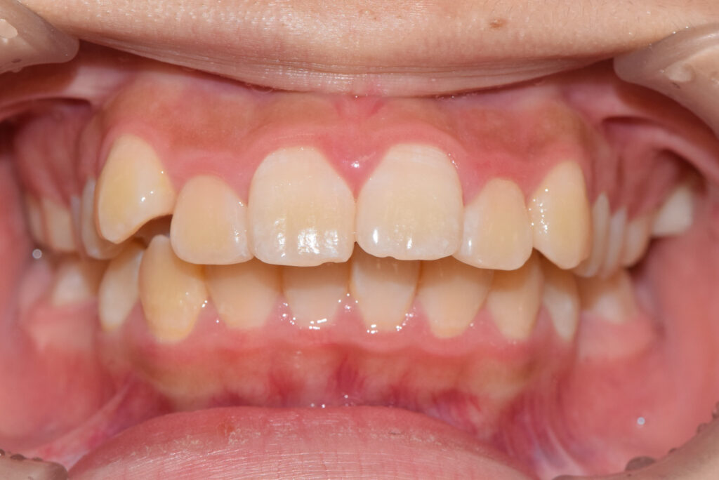
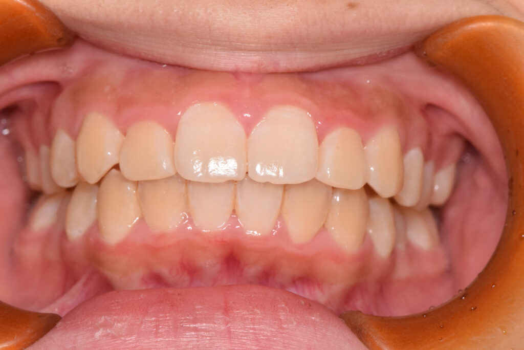
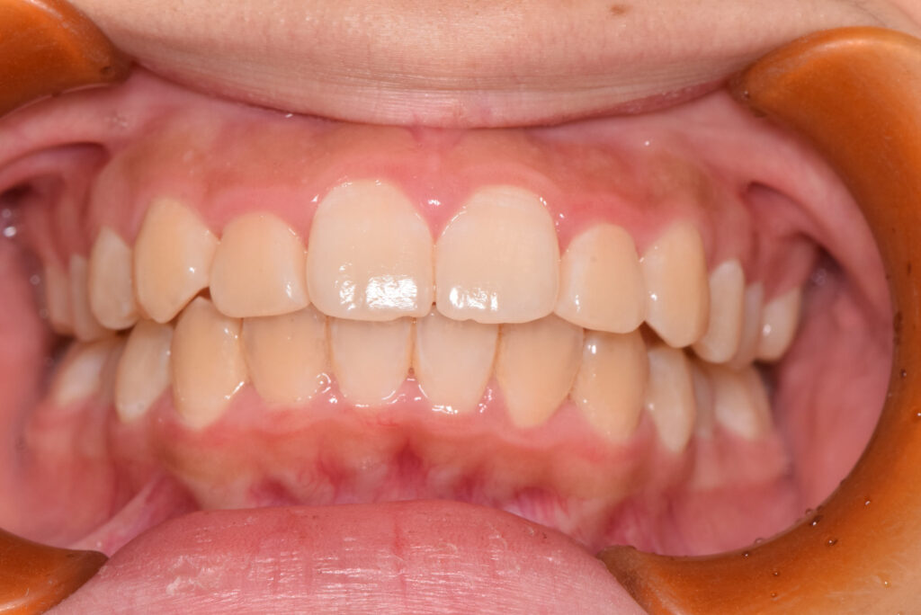
正面
治療前

治療後

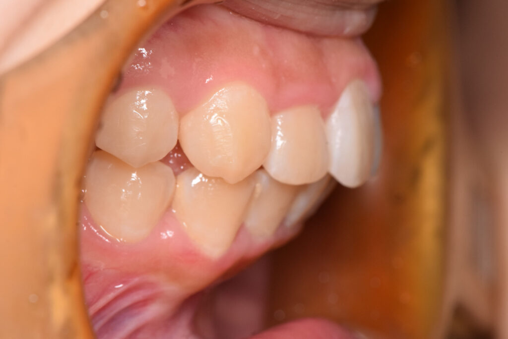
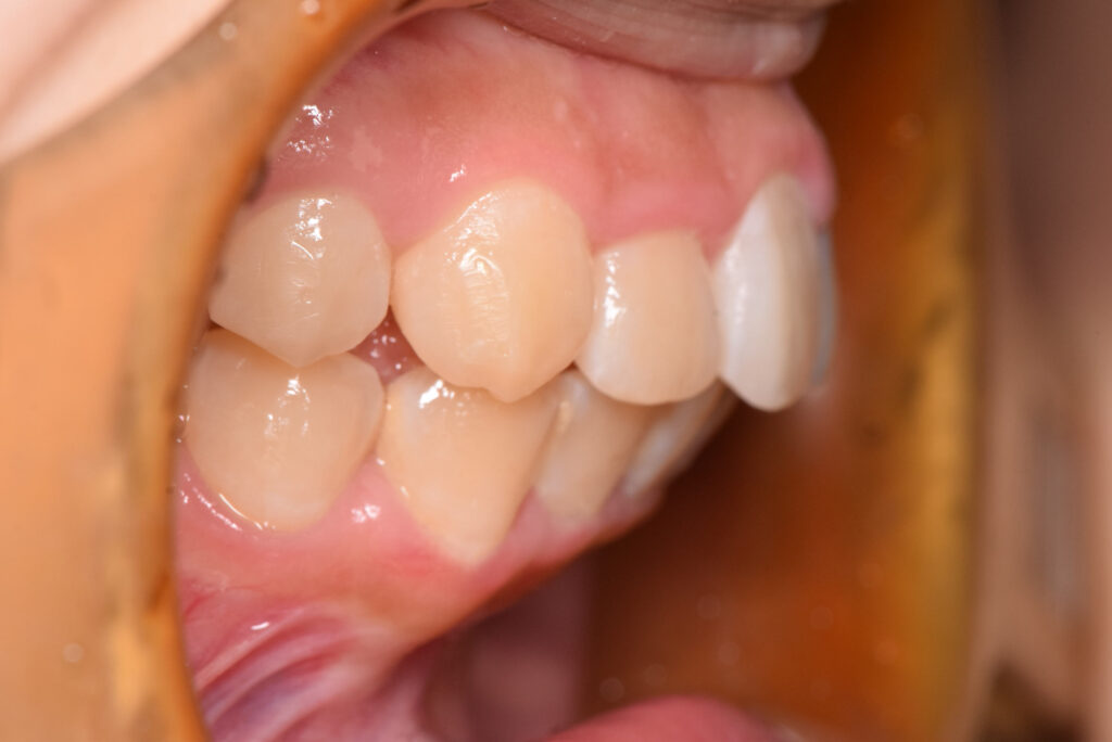
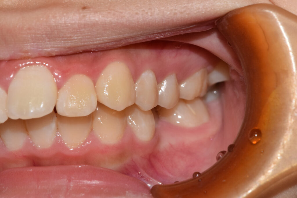
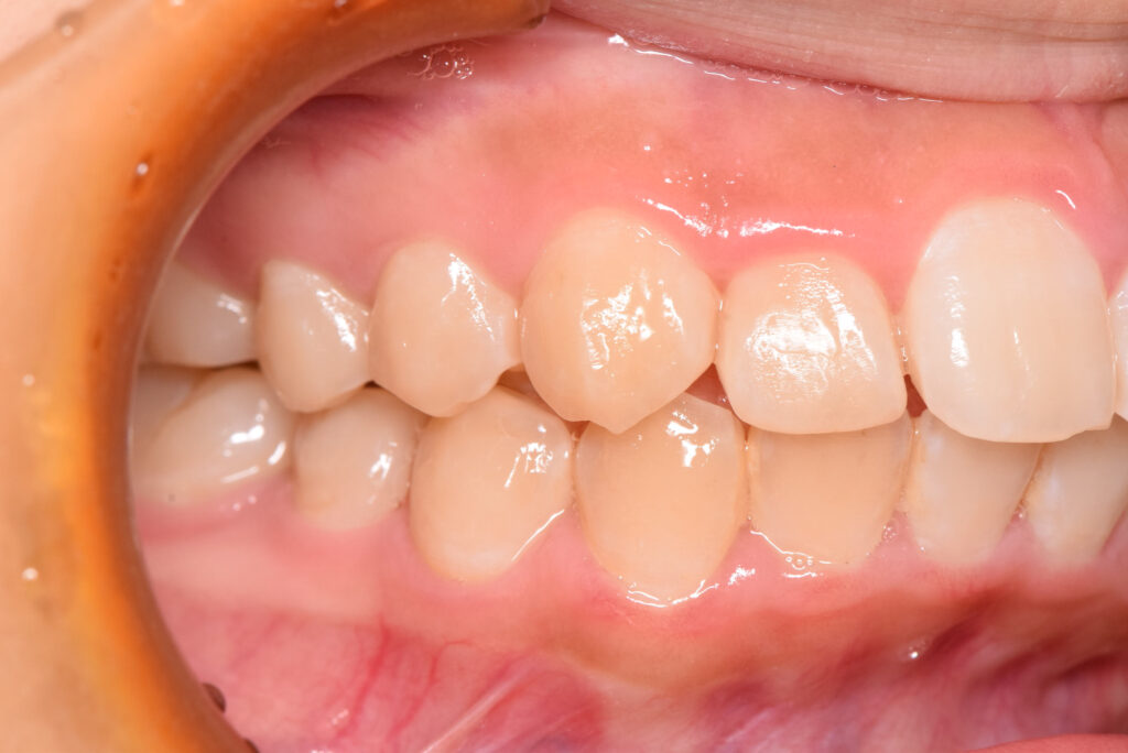
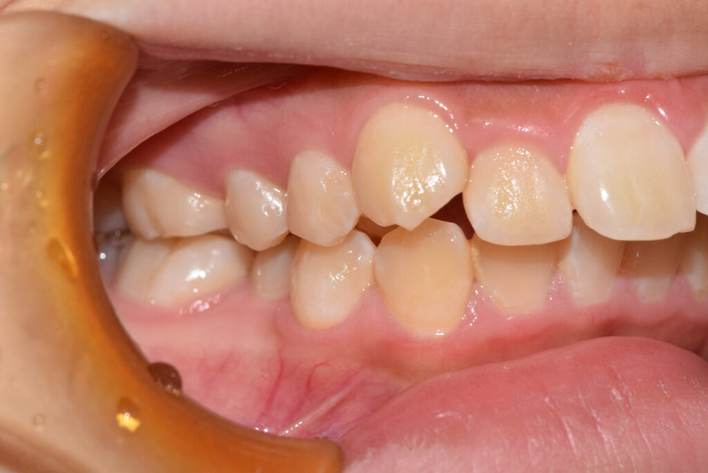
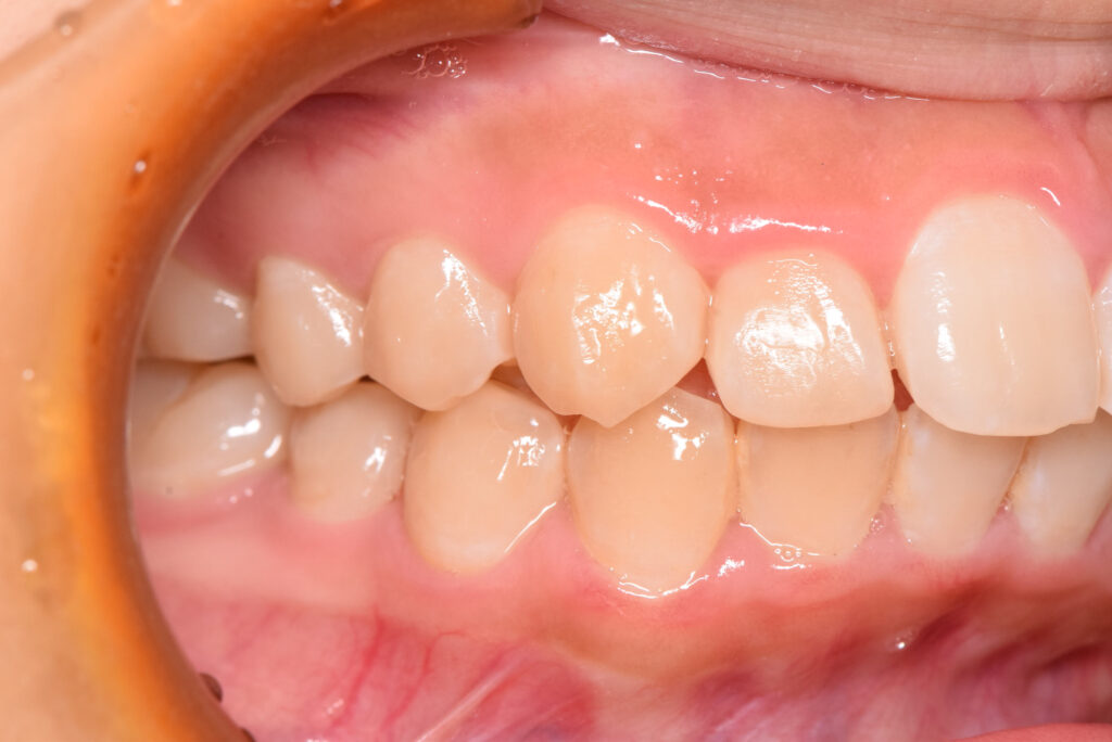
右側
治療前

治療後

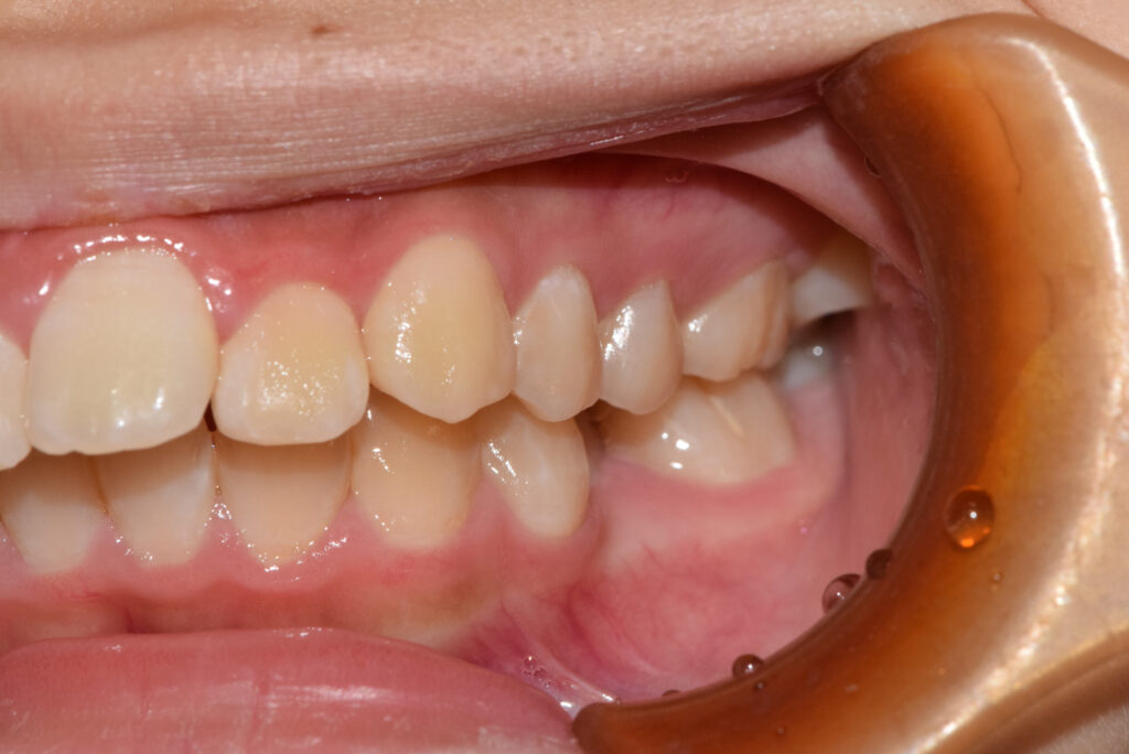
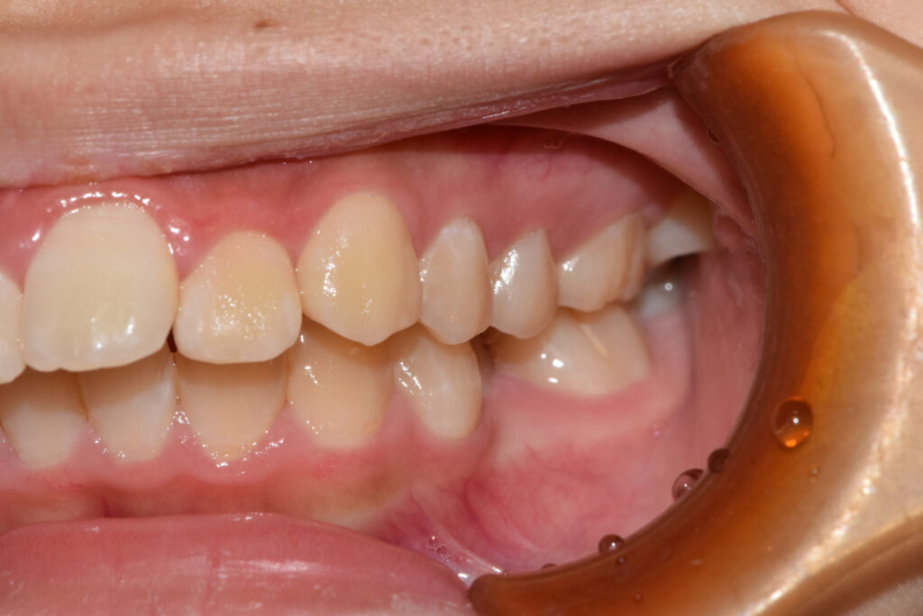
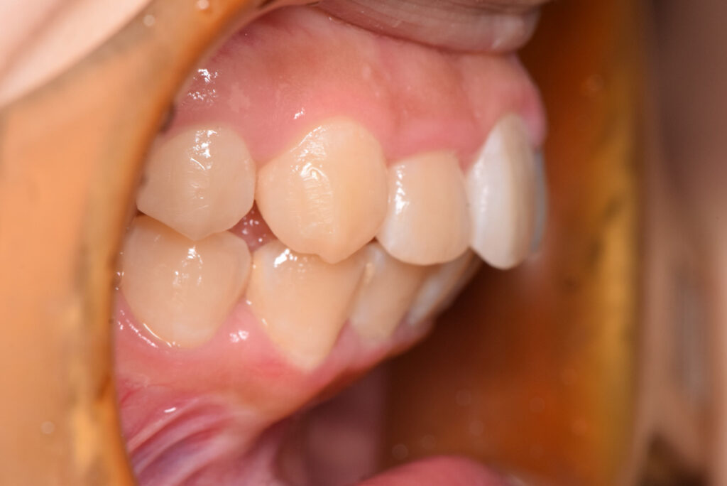
左側
治療前

治療後

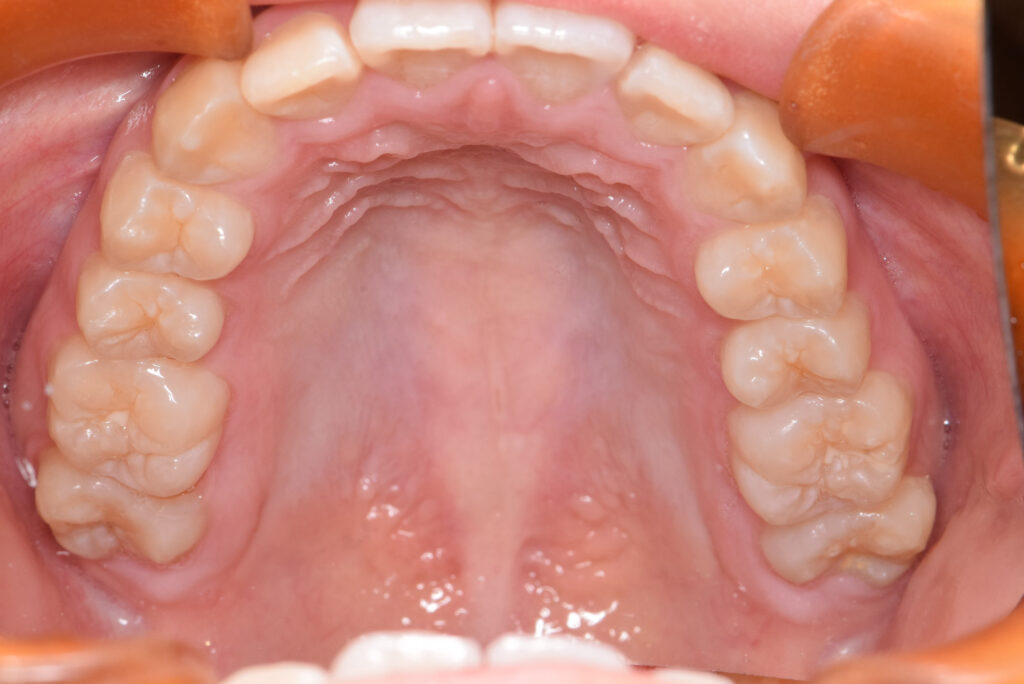
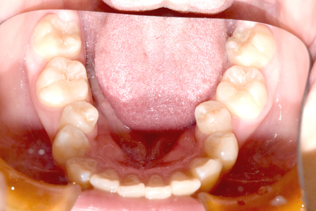
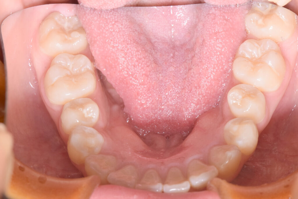
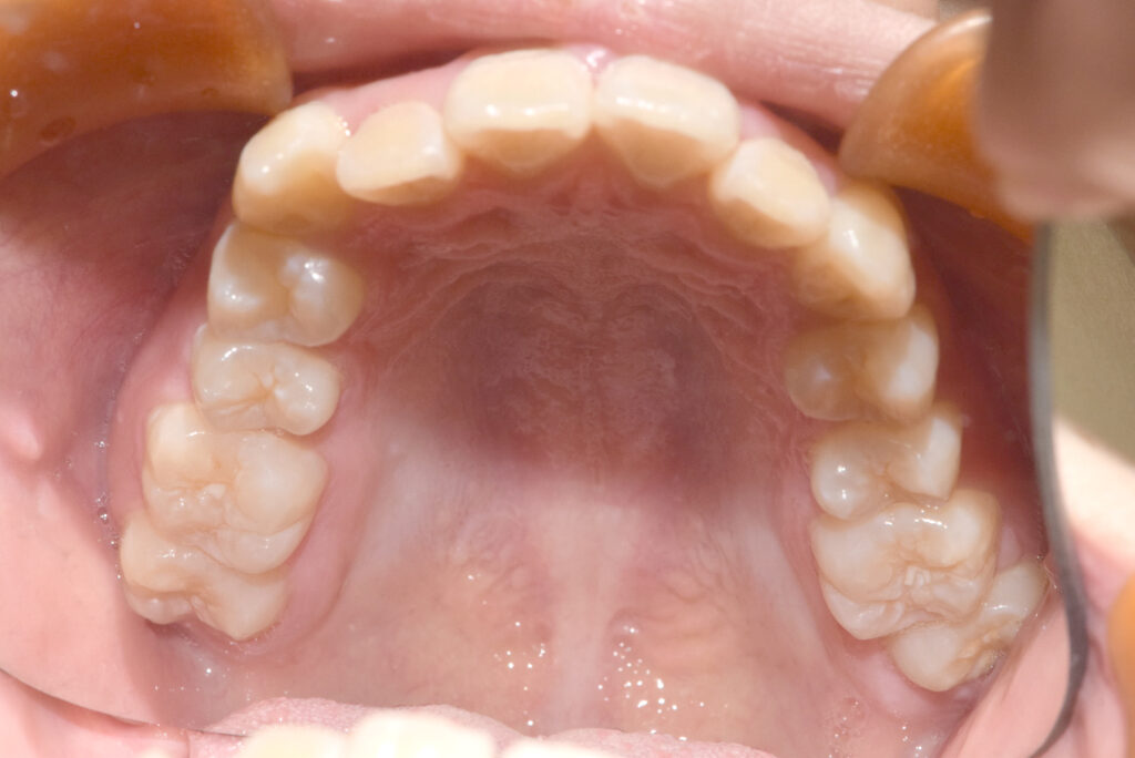
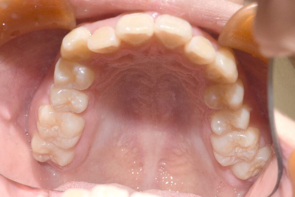
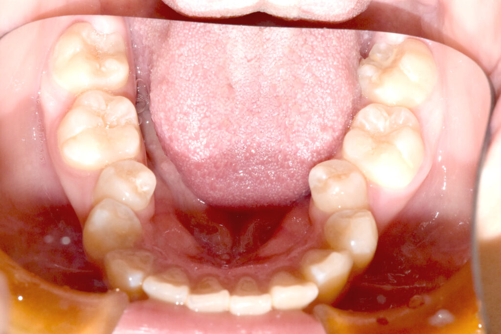
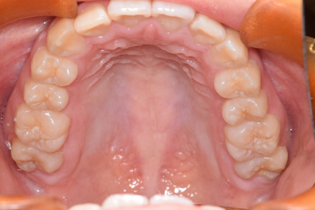
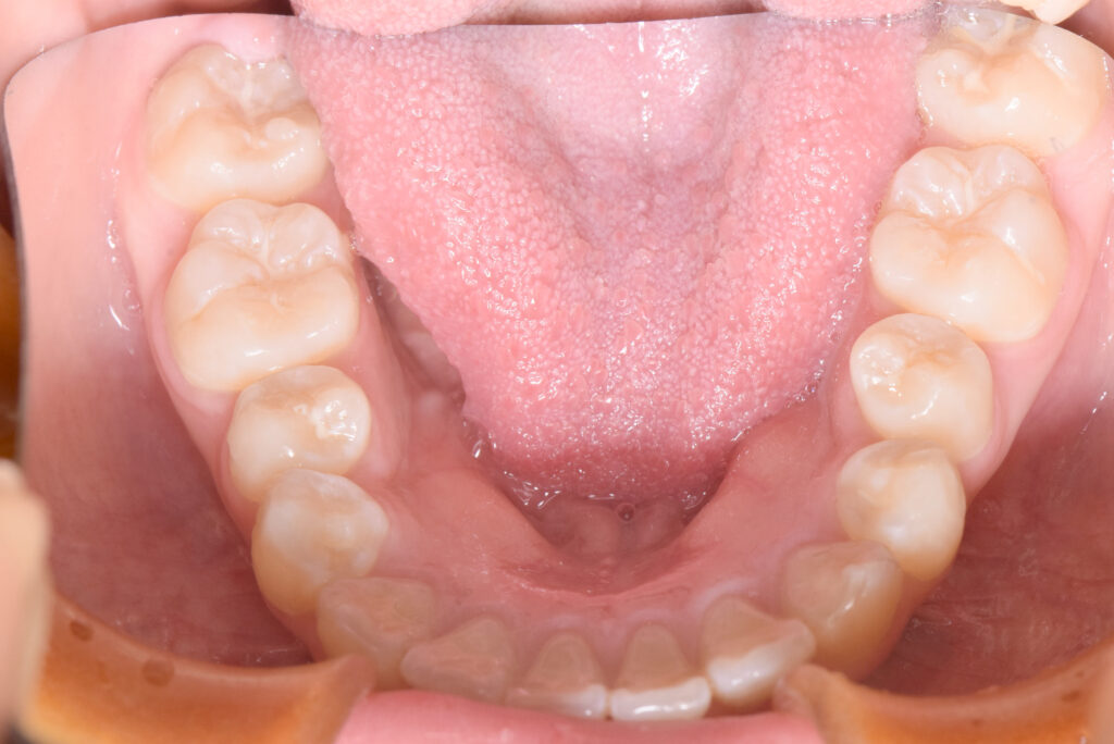
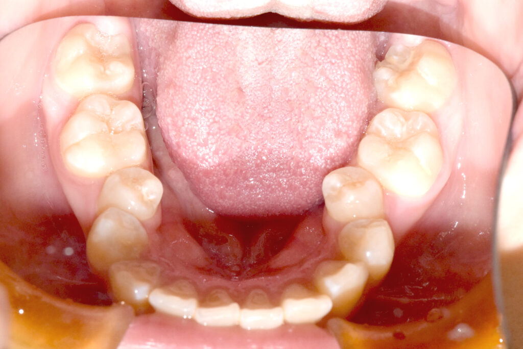
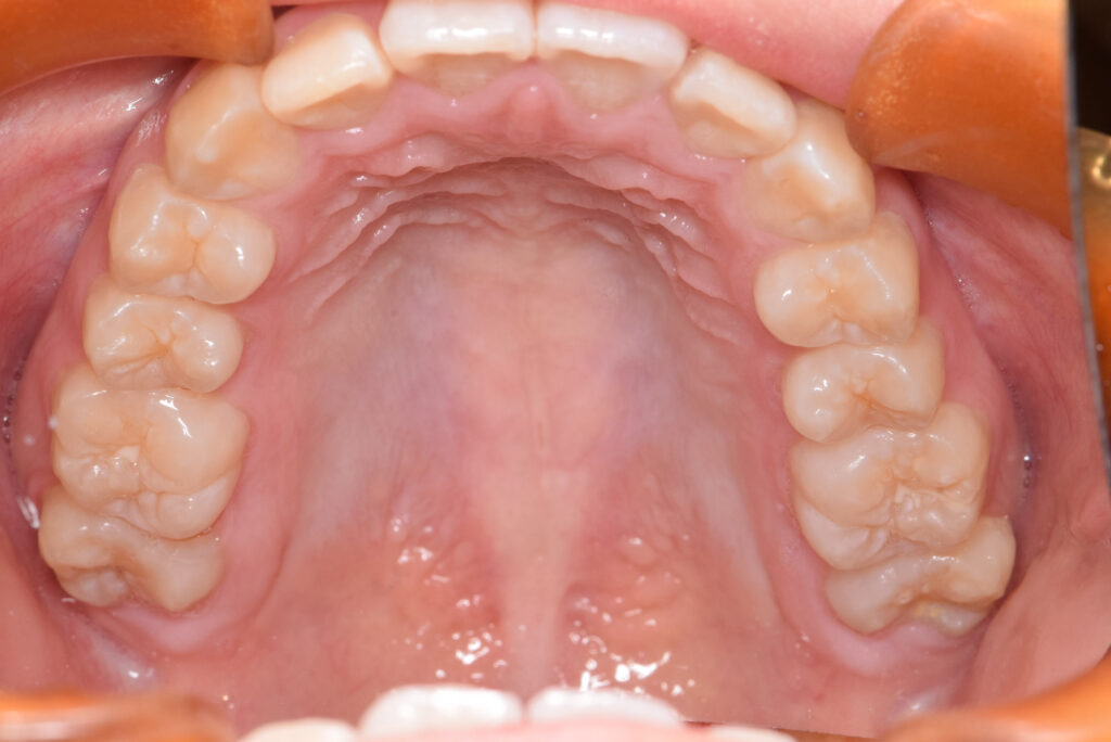
上顎
治療前

治療後

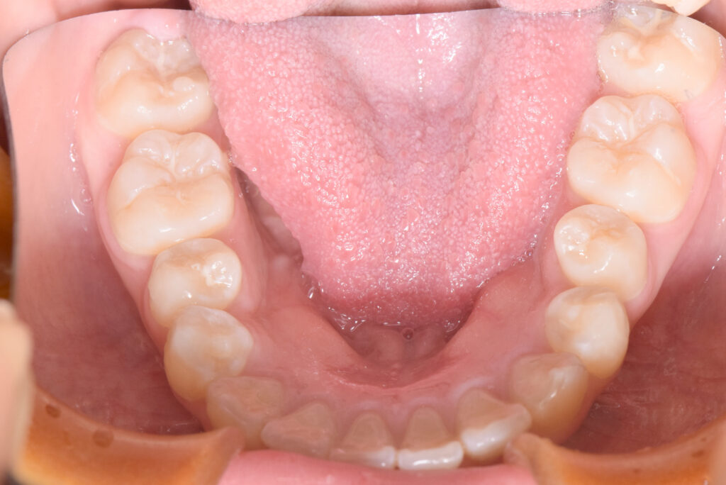
下顎
治療前

治療後

オーバージェット
治療前

治療後

| 担当Dr. | 米崎 美桜 |
|---|---|
| 患者情報 | 20代女性 |
| 治療内容 |
患者様は、出っ歯と前歯が噛んでいないので、食事がしにくいことを悩まれていました。5┰5も歯並びが悪いので、噛み合わせもしっかりなおしたい、というご希望でした。 抜歯は避けたい、とのことで、アライナー26枚のプランで治療を行った。顎位の改善も必要なため顎間ゴムも使用。 |
| 治療期間 |
7ヶ月(20230821-20240326) |
| 治療費用 | 税抜850,000円 税込935,000円 ・モデレート70万 ・上顎IPR 5万 ・顎間ゴム 10万 |
| リスク・副作用 | ・初めの数日は矯正装置による不快感、痛み等があります。数日間~1,2週間で慣れることが多いです。 ・装置の使用状況、定期的な通院等、矯正治療には患者さんの協力が非常に重要であり、それらが治療結果や治療期間に影響します。 ・歯の動き方には個人差があります。そのため、予想された治療期間が延長する可能性があります。 ・歯を動かすことにより歯根が吸収して短くなることがあります。また、歯ぐきがやせて下がることがあります。 |