2025/10/07 すきっ歯(空隙歯列)
すきっ歯の矯正治療(インビザライン)
30代の矯正症例
治療前後の比較
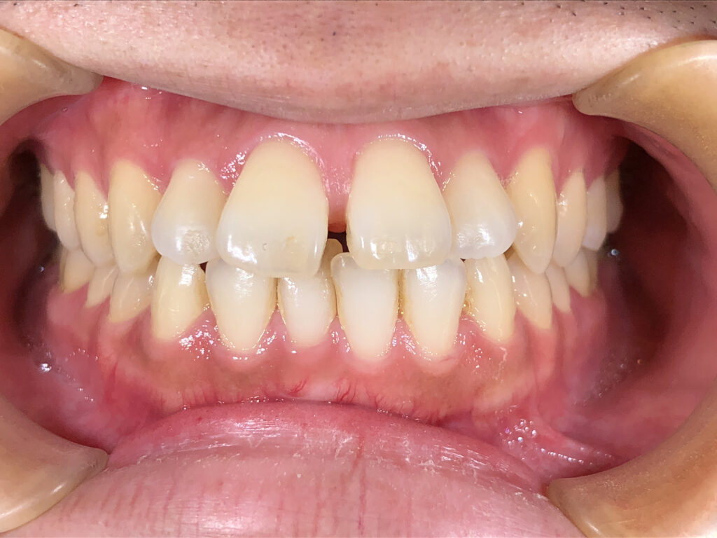
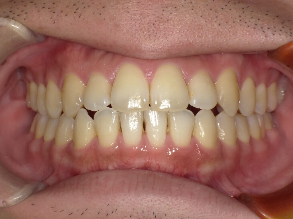
正面
治療前

治療後

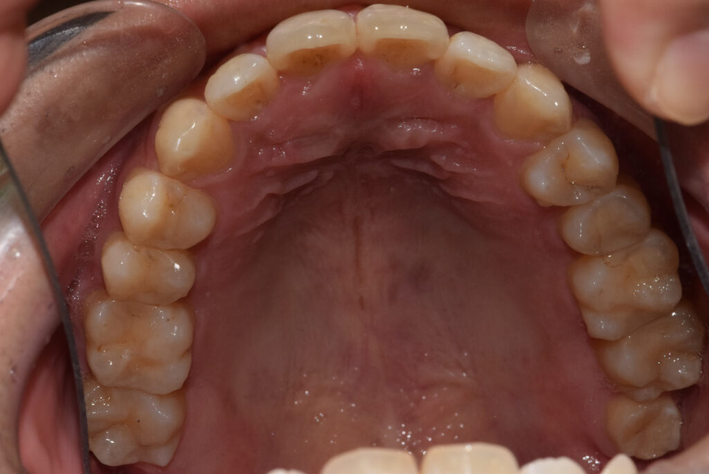
上顎
治療前

治療後

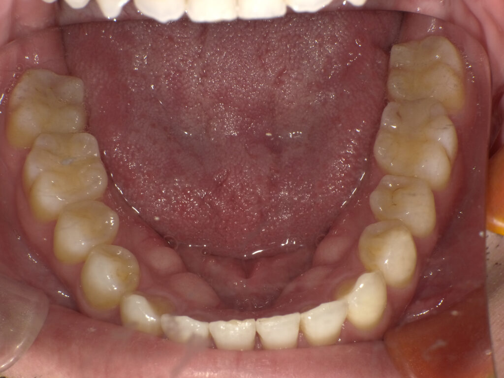
下顎
治療前

治療後

| 担当Dr. | 米崎 美桜 |
|---|---|
| 患者情報 | 30代女性 |
| 治療内容 |
患者様は上顎前歯部の隙間を気にされていた。 |
| 治療期間 | 7ヶ月(2023/03/17~2023/11/16) |
| 治療費用 | 税抜550,000円 税込605,000円 ライトプラン50万 下顎IPR 5万 |
| リスク・副作用 | ・初めの数日は矯正装置による不快感、痛み等があります。数日間~1,2週間で慣れることが多いです。 ・装置の使用状況、定期的な通院等、矯正治療には患者さんの協力が非常に重要であり、それらが治療結果や治療期間に影響します。 ・歯の動き方には個人差があります。そのため、予想された治療期間が延長する可能性があります。 ・歯を動かすことにより歯根が吸収して短くなることがあります。また、歯ぐきがやせて下がることがあります。 |