2025/10/02 ガタガタ(叢生)
叢生の矯正治療(インビザライン)
10代の矯正症例
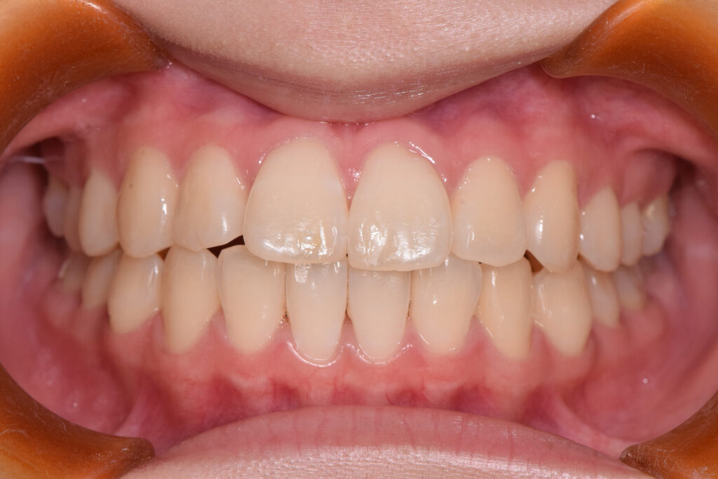
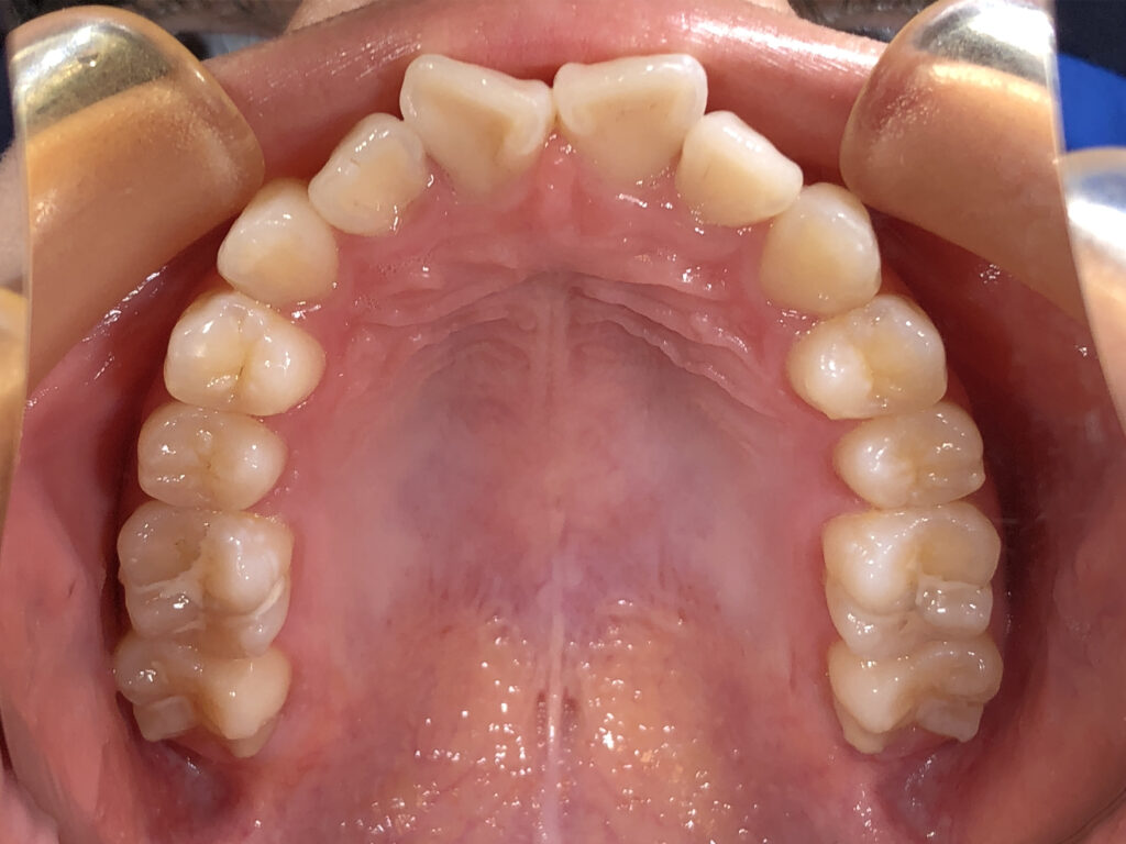
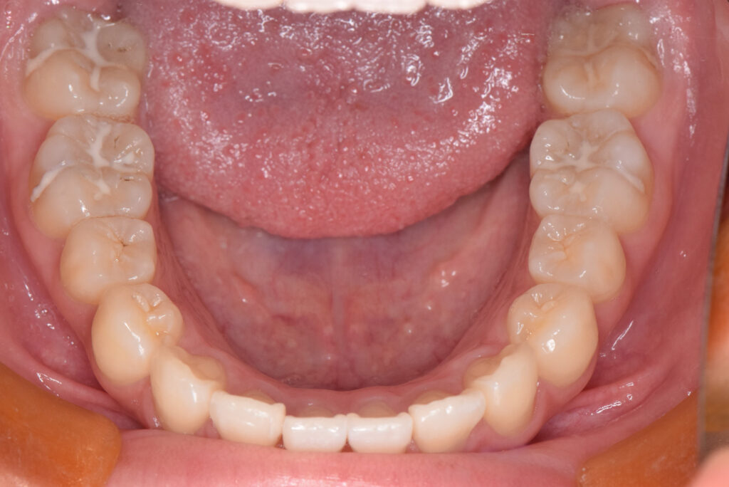
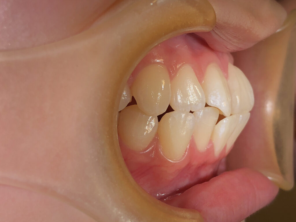
治療前後の比較
正面
治療前

治療後

上顎
治療前

治療後

下顎
治療前

治療後

オーバージェット
治療前

治療後

| 担当Dr. | 米崎 美桜 |
|---|---|
| 患者情報 | 10代女性 |
| 治療内容 |
患者様は前歯の歯並びを気にされており、上顎中切歯(1┴1)は揃っておらず内側に傾斜しており、さらに側切歯(2┬2)は前方に突出し叢生が見られた。 |
| 治療期間 | 5ヶ月 (2023/02/25〜2023/08/22) |
| 治療費用 | 税抜650,000 円 税込715,000円 ライトプラン 50万 上顎IPR 5万 顎間ゴム 10万 |
| リスク・副作用 | ・初めの数日は矯正装置による不快感、痛み等があります。数日間~1,2週間で慣れることが多いです。 ・装置の使用状況、定期的な通院等、矯正治療には患者さんの協力が非常に重要であり、それらが治療結果や治療期間に影響します。 ・歯の動き方には個人差があります。そのため、予想された治療期間が延長する可能性があります。 ・歯を動かすことにより歯根が吸収して短くなることがあります。また、歯ぐきがやせて下がることがあります。 |