2025/11/27 ブログ
インビザラインでブラックトライアングルができる?原因やできた時の対処法

この記事を執筆した人
若林歯科院長 米崎美桜
愛知学院大学歯学部を卒業後、同大学で歯科医師臨床研修(小児歯科)を修了。
日本小児歯科学会会員、一般社団法人日本小児矯正研究会副理事長として小児歯科・矯正治療の専門性を持ち、特にインビザラインを用いた矯正に強みを発揮しています。
豊田市内の学校・こども園の歯科医としても活動し、虫歯予防から歯列改善まで幅広く対応。医療コラム執筆者としても信頼され、保護者に向けて「一生涯虫歯ゼロ+美しい歯並び」をサポートする情報を提供しています。
インビザラインで歯並びが整ってきたのに、前歯の間に黒いすき間ができてしまった…。
それが「ブラックトライアングル」という症状です。
今回は、ブラックトライアングルの原因・矯正との関係・放置リスク・治療法について解説します。
そもそもブラックトライアングルとは
ブラックトライアングルとは、歯と歯の間の歯ぐき(歯間乳頭)が下がることでできる黒いすき間のことを指します。健康な状態では、歯と歯の間は歯ぐきで満たされていますが、歯肉がやせたり歯の位置が変化することで、三角形の黒い空間が現れます。

この状態は病気ではありませんが、見た目の問題・食べかすやプラークが溜まりやすい衛生上の問題を引き起こすことがあります。特に矯正治療後や歯周病治療後などに目立つケースが多く見られます。
ブラックトライアングルができる主な原因
歯周病
ブラックトライアングルの最も大きな原因の一つが、歯周病による歯肉の退縮です。歯周病とは、歯と歯茎の間に細菌が侵入し、歯ぐきや歯を支える骨が破壊されていく病気です。初期は歯肉炎として軽度の腫れや出血が見られますが、進行すると歯を支える歯槽骨(しそうこつ)が溶けてしまい、歯肉も下がってしまいます。
歯肉が下がることにより、歯と歯の間にあったはずの「歯間乳頭」と呼ばれる歯肉部分がなくなり、ブラックトライアングルが生じます。特に前歯部分は目立ちやすく、審美的な問題にもつながります。また、この隙間に食べかすが溜まりやすくなり、さらなる歯周病の悪化や虫歯の原因にもなります。
加齢
ブラックトライアングルは、加齢とともに起こる現象でもあります。年齢を重ねると、体の他の組織と同様に、歯肉も少しずつ弾力を失い後退していきます。
また、年齢を重ねることで、歯の間の接触面がすり減ったり、歯肉の厚みが減少することもブラックトライアングルが生じる原因になります。
歯の形
元々歯の先端が広く、根元が細い「三角形の歯」は、歯ぐきが少し下がるだけでも隙間が目立ちやすい傾向があります。 歯の形状的に、ブラックトライアングルが起こりやすい方もいます。
歯列の移動
インビザラインなどの歯列矯正による歯の移動も、ブラックトライアングルを引き起こす原因の一つです。矯正治療では、歯を正しい位置に動かして歯並びや噛み合わせを整えますが、歯の位置が変わることで、歯の接触点が上の方にずれることがあります。
そうすると、歯肉がその隙間を埋められず、ブラックトライアングルが目立ちやすくなります。さらに、矯正中に力がかかることで軽度の歯肉退縮が起こることもあり、これも隙間ができる一因となります。
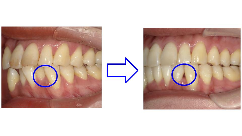
インビザライン矯正でブラックトライアングルができるって本当?
インビザライン矯正でも、ブラックトライアングルができることがあります。ただし、これはインビザライン特有の問題ではなく、ワイヤー矯正でも同様に起こりうる現象です。
歯茎が引き締まるため
インビザラインで歯並びが整うと、歯ぐきが健康的に引き締まり、以前は歯並びの重なりで隠れていた部分が見えるようになることで、結果的に黒いすき間が目立つことがあります。
つまり、「悪いこと」ではなく、歯ぐきが健康を取り戻しているサインでもあります。特に、前歯部ではこの変化が大きく、治療前には見えなかった隙間が急に目立つようになることもあります
歯槽骨が不十分なため
歯を支えている歯槽骨(しそうこつ)と呼ばれる骨の量がもともと少ない、あるいは歯周病などで失われている場合も、ブラックトライアングルができやすくなります。インビザラインで歯を動かす際、歯槽骨がしっかりしていないと、歯肉も支えを失いやすく、歯間乳頭が退縮しやすくなります。
特に、矯正前にすでに歯周病の進行があった方や、年齢的に歯槽骨が薄くなっている方は注意が必要です。また、インビザラインでは徐々に歯を動かしていきますが、歯槽骨の状態が悪いと治療計画通りに歯肉がついてこないこともあります。結果として、歯の見た目は整っても、歯間の隙間が目立ってしまうのです。
ブラックトライアングルをそのまま放置するとどうなる?
虫歯の原因となる
歯と歯の間にすき間があると、食べかすやプラークがたまりやすくなります。ブラッシングをしっかり行わないと、虫歯や歯周病のリスクが高まります。
見た目が気になる
前歯の間に黒い影ができるため、笑ったときに目立ちやすく審美的な悩みにつながります。 矯正後にせっかく整った歯並びが「老けて見える」と感じる方もいます。
発音に影響が出る
前歯の間の隙間が大きい場合、空気がもれやすくなり、「さ行」などの発音に違和感を覚える方もいます。
ブラックトライアングルを治す方法
IPR
ブラックトライアングルの改善法の一つとして、「歯を削る」という処置があります。これはIPRと呼ばれ、インビザラインでは歯を動かすためのスペースを作るための処置としても行われますが、歯と歯の間を少しだけ削ることで歯の形を調整する方法としても用いられます。
歯の接触面を広くすることで、歯と歯の間の隙間を小さくし、歯肉がより密着しやすくなります。すでに矯正が終了している場合でも、この方法で隙間の目立ちを軽減することが可能です。
歯肉移植
ブラックトライアングルが歯肉の退縮によって生じている場合、改善法として「歯肉移植」という外科的な治療法があります。これは、自身の口腔内の別の部位から歯肉を採取し、ブラックトライアングル部分に移植して歯間乳頭の再生を図る方法です。
治療期間や費用、術後の管理などの負担が大きいのが難点です。また、すべての症例に適用できるわけではなく、歯槽骨の量や口腔内の状態によって適応が決まります。
ヒアルロン酸の注入
ヒアルロン酸を歯肉に注入することで歯間乳頭のボリュームを一時的に回復させ、見た目の隙間を埋めるという方法もあります。
ただ、この方法は効果は一時的であり、数ヶ月〜1年程度で吸収されてしまいます。そのため、定期的な再注入が必要になります。また、歯肉の状態や厚みによってはヒアルロン酸が定着しにくい場合もあるため、すべてのケースに適しているとは限りません。
ダイレクトボンディング
「ダイレクトボンディング」とは、コンポジットレジンという歯科用プラスチックを歯の側面に直接盛りつけて、歯の形を整えることによってブラックトライアングルを埋める方法です。歯を削らずに済むことも多く、即日で仕上げることができる点が大きな利点です。
この方法は、歯の形状そのものを変えて接触面を広げることができるため、見た目の改善効果が高いです。また、レジンは天然の歯に近い色調を再現できるため、審美性にも優れています。ただし、時間の経過とともに変色や欠けのリスクがあるため、定期的なメンテナンスが必要です。
インビザラインによるブラックトライアングルに不安がある方は、愛知県豊田市の若林歯科にご相談ください
若林歯科では、知識と経験豊富な歯科医師、スタッフがカウンセリングから治療までを担当します。お悩みやご不安を聞き、患者様一人ひとりにあった治療方法をご提案いたします。また、希望予算や期間に応じて治療プランをご選択いただけます。
当院の矯正治療についてはこちらをご覧ください
インビザラインによるブラックトライアングルに不安がある方は、ぜひ、若林歯科にご相談ください。
LINEでの新規矯正相談のご予約も承っております。
※LINEでのご相談は豊田市近隣にお住まいの方限定となります



