出っ歯・叢生の矯正治療(インビザライン)
10代の矯正症例
治療前後の比較
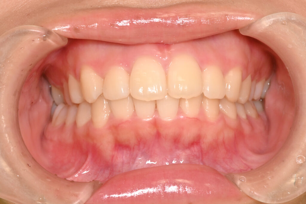
正面
治療前

治療後

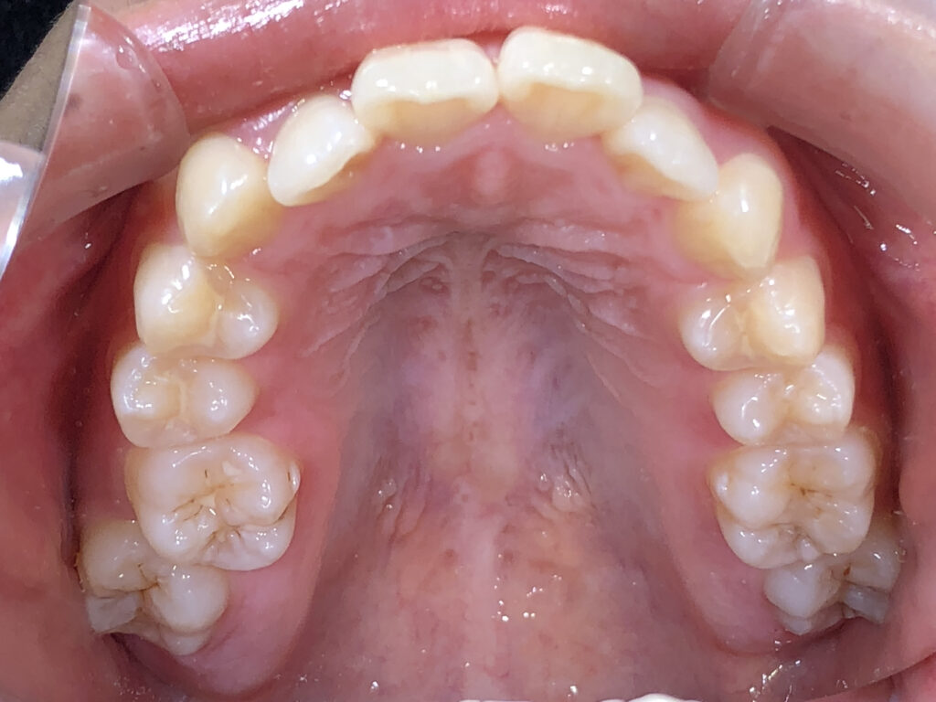
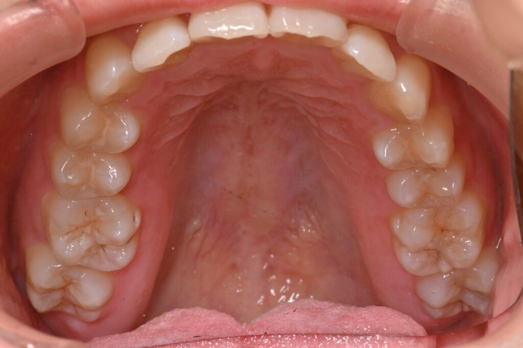
上顎
治療前

治療後

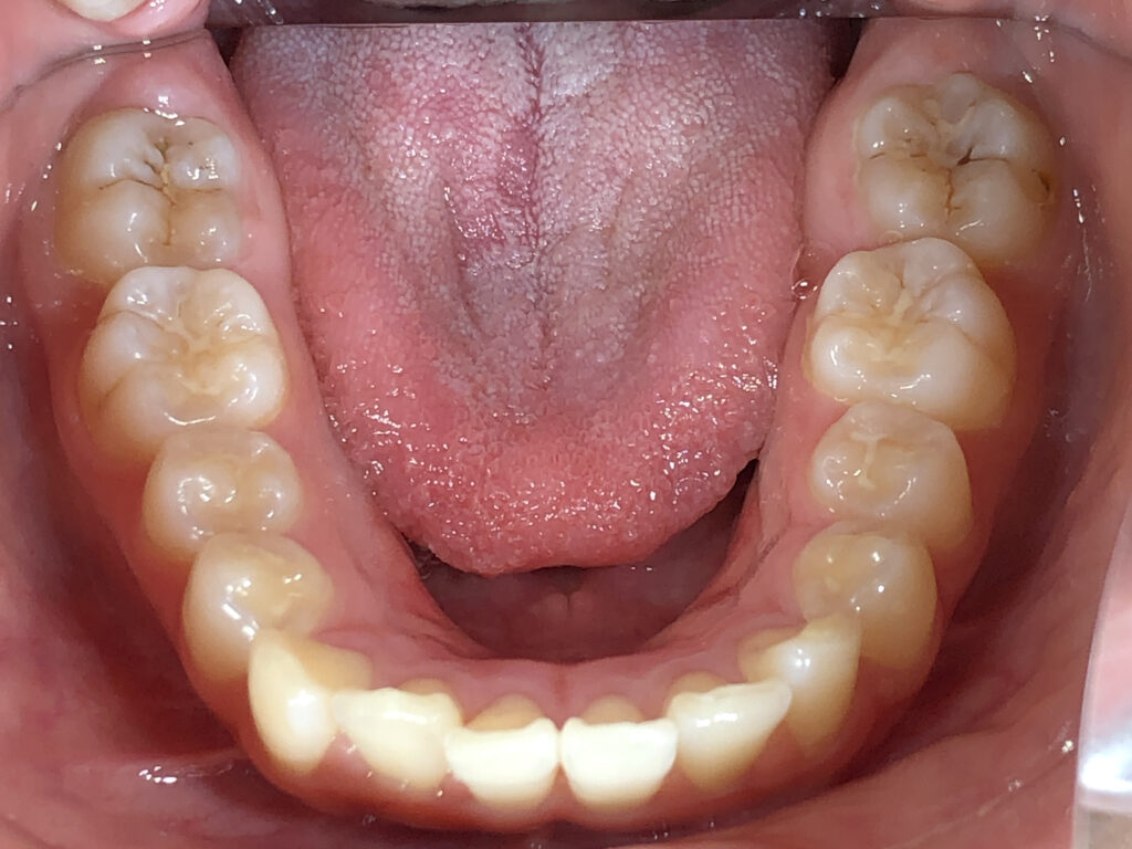
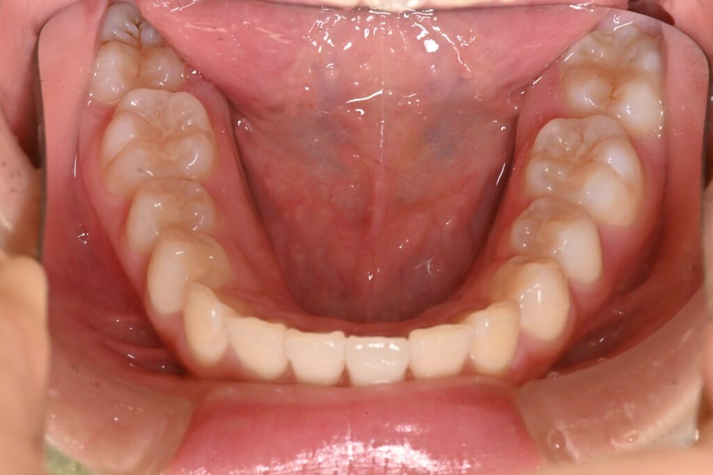
下顎
治療前

治療後

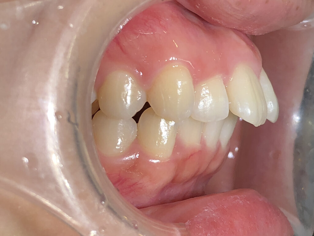
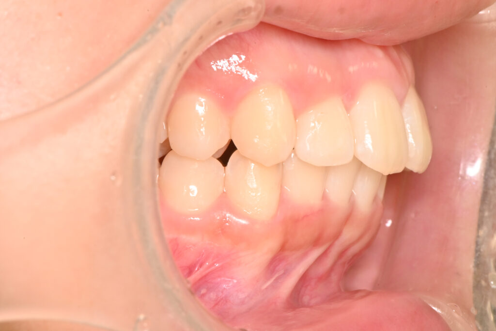
前歯部あおり
治療前

治療後

オーバージェット
治療前

治療後

| 担当Dr. | 米崎 美桜 |
|---|---|
| 患者情報 | 10代女性 |
| 治療内容 |
患者様は上顎前歯の突出感を主訴として来院され、「1⏊1が出ているので、2⏊2の位置ぐらいまで下げたい」と強く希望されていました。また、上下の正中のズレも気にされていましたが、前歯の前突が改善すれば許容できるとのことでした。 診査の結果、前歯の前突感が強く、審美的にも機能的にも改善の余地がある状態でした。奥歯のⅠ級関係にはこだわらないという患者様の意向を踏まえ、前歯の後退を主目的とした治療計画を立案しました。 インビザライン治療では、上顎にIPRを行い、Ⅱ級ゴムを併用することで、上顎前歯を約3mm後退させる設計としました。患者様のご希望に沿って前歯主体の移動を行いながら、14週のライトプランで効率的に前突の改善を図りました。 前歯の位置が整ったことで、正中のわずかなズレも相対的に目立ちにくくなり、口元全体の調和が得られました。 |
| 治療期間 | 3ヶ月(2025/03/03~2025/06/24) |
| 治療費用 | 税抜680,000円 税込748,000円 ライトプラン53万 Ⅱ級ゴム 10万 IPR 5万 |
| リスク・副作用 | ・初めの数日は矯正装置による不快感、痛み等があります。数日間~1,2週間で慣れることが多いです。 ・装置の使用状況、定期的な通院等、矯正治療には患者さんの協力が非常に重要であり、それらが治療結果や治療期間に影響します。 ・歯の動き方には個人差があります。そのため、予想された治療期間が延長する可能性があります。 ・歯を動かすことにより歯根が吸収して短くなることがあります。また、歯ぐきがやせて下がることがあります。 |