2025/09/29 すきっ歯(空隙歯列)
すきっ歯の矯正治療(インビザライン)
40代の矯正症例
治療前後の比較
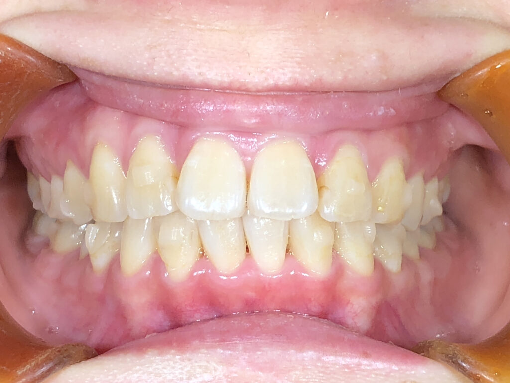
正面
治療前

治療後

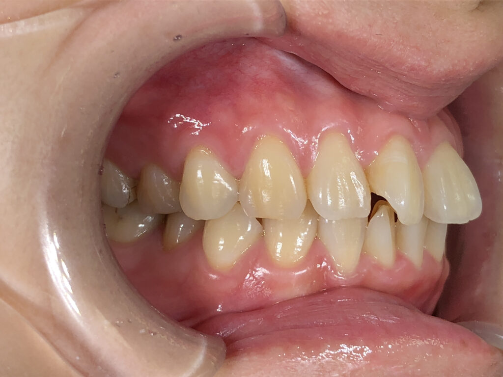
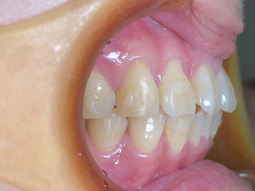
右側
治療前

治療後

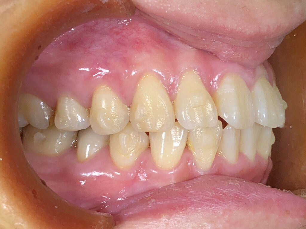
左側
治療前

治療後

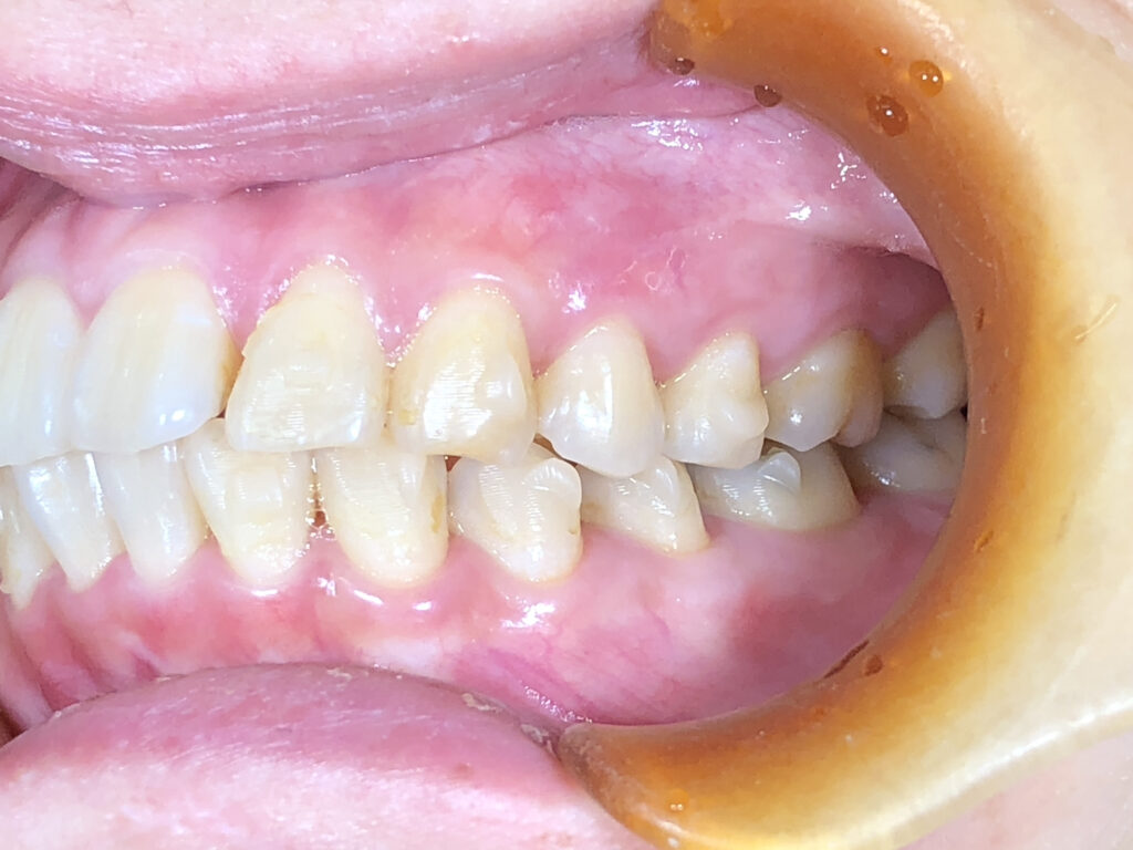
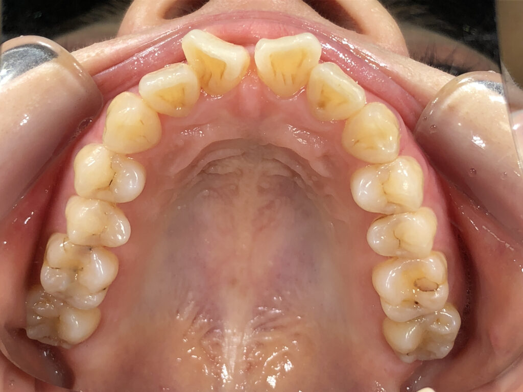
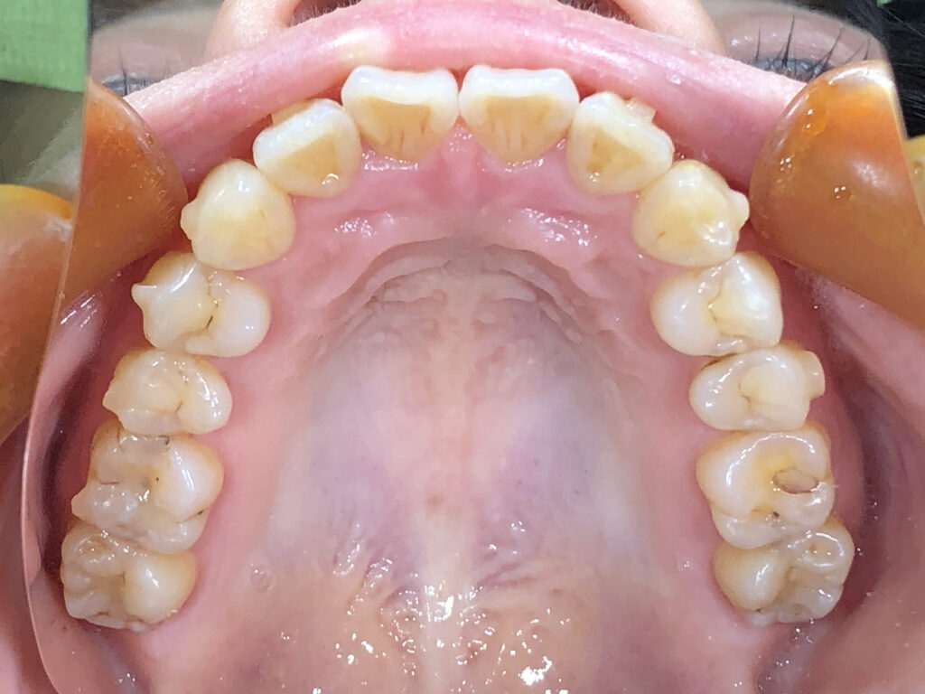
上顎
治療前

治療後

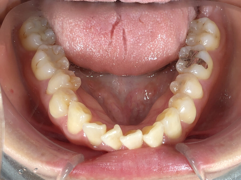
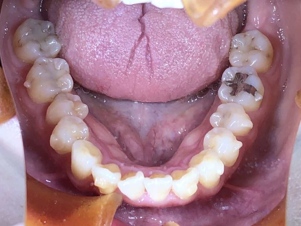
下顎
治療前

治療後

オーバージェット
治療前

治療後

| 担当Dr. | 米崎 美桜 |
|---|---|
| 患者情報 | 40代女性 |
| 治療内容 |
患者様は前歯の隙間と歯の向きを主訴として来院されました。前歯の隙間は審美面だけでなく、発音や食べ物の停滞にも影響しやすい状態でした。また、下顎前歯部に歯石が付きやすいことは、歯列不正により清掃不良部位が生じていることが一因と考えられました。 インビザライン矯正では、前歯の角度と位置を適切にコントロールし、隙間を閉じて調和のとれた歯列に整えました。同時に下顎前歯の叢生を改善することで、歯石の付着しやすい環境を改善し、将来的な歯周病リスクの低減にもつながる治療計画としました。下顎はもう少し改善可能と説明したところ、十分満足とのことで、治療終了としました。 |
| 治療期間 | 4ヶ月(2024/09/02〜2025/01/16) |
| 治療費用 | 税抜520000円 税込572000円 |
| リスク・副作用 | ・初めの数日は矯正装置による不快感、痛み等があります。数日間~1,2週間で慣れることが多いです。 ・装置の使用状況、定期的な通院等、矯正治療には患者さんの協力が非常に重要であり、それらが治療結果や治療期間に影響します。 ・歯の動き方には個人差があります。そのため、予想された治療期間が延長する可能性があります。 ・歯を動かすことにより歯根が吸収して短くなることがあります。また、歯ぐきがやせて下がることがあります。 |