2025/12/09 ガタガタ(叢生) 前歯噛めない(開咬)
出っ歯・開咬の矯正治療(インビザライン)
40代の矯正症例
治療前後の比較
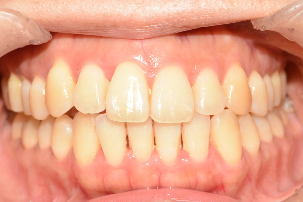
正面
治療前

治療後

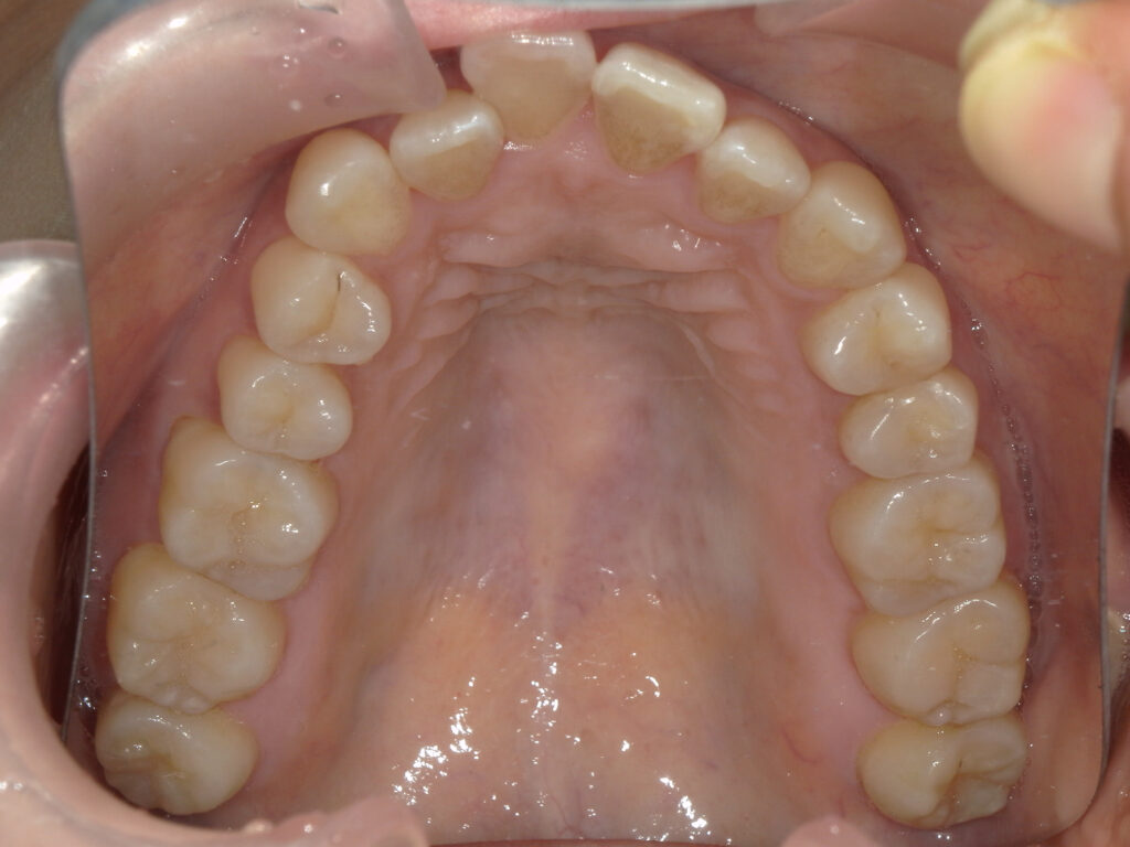
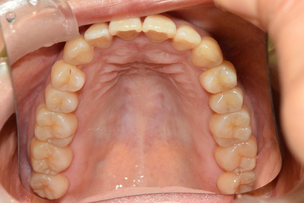
上顎
治療前

治療後

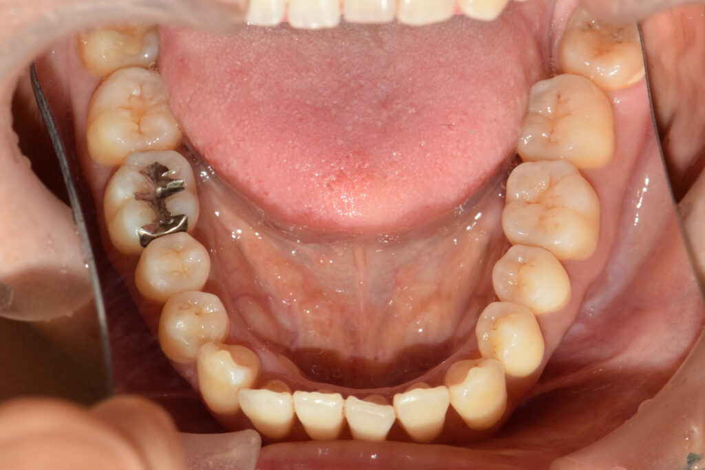
下顎
治療前

治療後

オーバージェット
治療前

治療後

| 担当Dr. | 米崎 美桜 |
|---|---|
| 患者情報 | 40代女性 |
| 治療内容 |
患者様は奥歯への負担を心配され、開咬(オープンバイト)の改善を希望されました。 インビザライン治療では、上下前歯の垂直的な被蓋を改善し、奥歯への負担を軽減するように計画しました。ライトパッケージ(14週)で治療を行い、IPR(歯の削合)は行わず、開咬用のゴムを使用して咬合の安定化を図りました。 ただし、開咬は構造的に後戻りが起こりやすい咬合の一つであり、治療後も注意が必要です。 歯肉退縮のリスクにも十分配慮し、過度な歯の移動を避けながら、安全で機能的な咬合の確立を目指しました。 |
| 治療期間 | 6ヶ月(2024/12/27~2025/07/19) |
| 治療費用 | 税抜630,000円 税込693,000円 ライトプラン 53万 顎間ゴム 10万 |
| リスク・副作用 | ・初めの数日は矯正装置による不快感、痛み等があります。数日間~1,2週間で慣れることが多いです。 ・装置の使用状況、定期的な通院等、矯正治療には患者さんの協力が非常に重要であり、それらが治療結果や治療期間に影響します。 ・歯の動き方には個人差があります。そのため、予想された治療期間が延長する可能性があります。 ・歯を動かすことにより歯根が吸収して短くなることがあります。また、歯ぐきがやせて下がることがあります。 |