2025/12/17 すきっ歯(空隙歯列)
すきっ歯の矯正治療(インビザライン)
30代の矯正症例
治療前後の比較
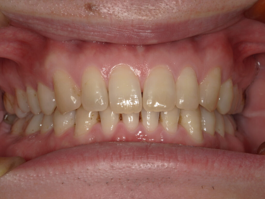
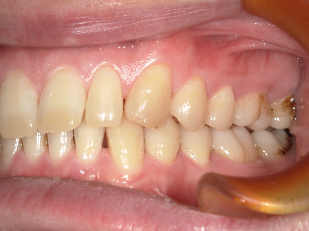
正面
治療前

治療後

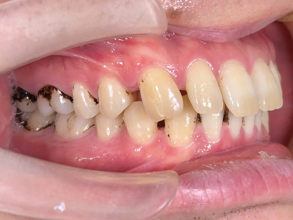
右側
治療前

治療後

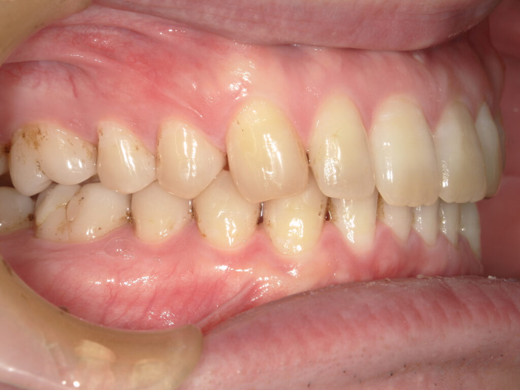
左側
治療前

治療後

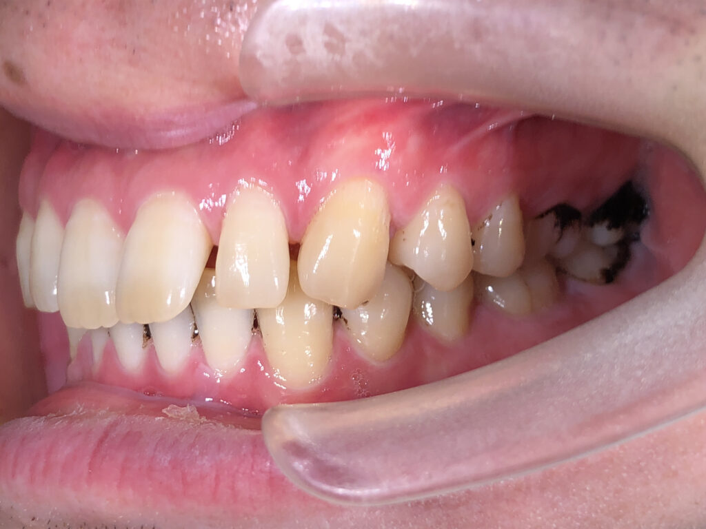
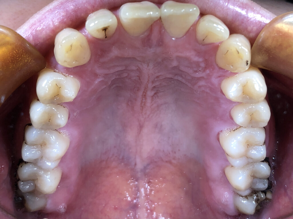
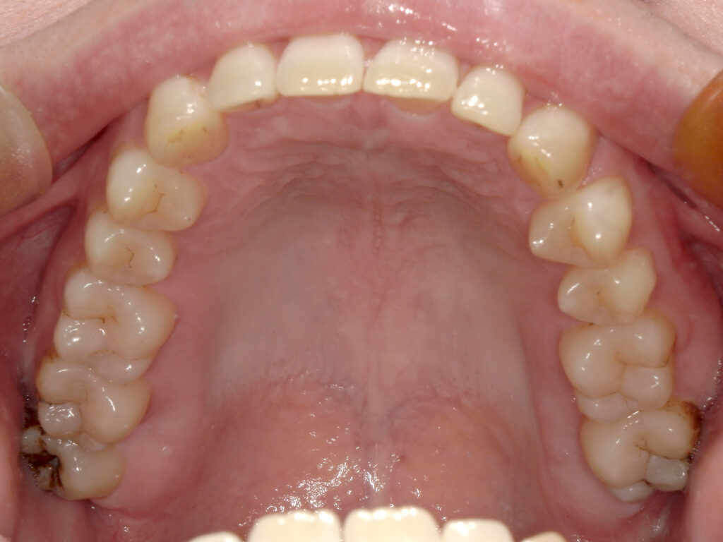
上顎
治療前

治療後

| 担当Dr. | 米崎 美桜 |
|---|---|
| 患者情報 | 30代男性 |
| 治療内容 |
患者様は上下の横の前歯の隙間を気にされており、「できれば完全に隙間を閉じたいが、ある程度改善されればよい」とのご希望で来院された。 インビザライン矯正では、前歯の近接移動を中心に計画し、効率的に隙間を閉鎖するため犬歯・小臼歯にアタッチメントを付与。また、閉鎖後の歯肉退縮やブラックトライアングルを最小限に抑えるため、歯根の平行性を意識して移動を行った。 治療により上下前歯の隙間は良好に閉鎖し、咬合も安定。審美的な改善とともに、発音や清掃性の向上にもつながった。 |
| 治療期間 | 8ヶ月(2023/02/02~2023/10/09) |
| 治療費用 | 税抜500,000円 税込550,000円 |
| リスク・副作用 | ・初めの数日は矯正装置による不快感、痛み等があります。数日間~1,2週間で慣れることが多いです。 ・装置の使用状況、定期的な通院等、矯正治療には患者さんの協力が非常に重要であり、それらが治療結果や治療期間に影響します。 ・歯の動き方には個人差があります。そのため、予想された治療期間が延長する可能性があります。 ・歯を動かすことにより歯根が吸収して短くなることがあります。また、歯ぐきがやせて下がることがあります。 |